Polímeros radiopaco - Polímeros termoplásticos, elastómeros y aditivos

mexpolimeros
info@mexpolimeros.com - tel. 477 7350309
info@mexpolimeros.com  - Móvil y Whatsapp +52(562)3758904
Móvil y whatsapp +52(562)3758904
info@mexpolimeros.com
Vaya al Contenido

Polímeros radiopaco

Polypedia > ► Resistentes a radiación

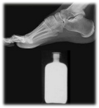
Material radiopaco


Los polímeros utilizados para producir catéteres y otros dispositivos que se insertan en el cuerpo para procedimientos de diagnóstico o intervención generalmente se llenan de sustancias opacas a los rayos X, lo que hace que los dispositivos sean visibles bajo fluoroscopia o imágenes de rayos X. Estos rellenos, o radiopacificadores, típicamente polvos metálicos densos, afectan la atenuación de energía de los fotones en un haz de rayos X a medida que pasa a través de la materia, reduciendo la intensidad de los fotones al absorberlos o desviarlos. Debido a que estos materiales exhiben un coeficiente de atenuación más alto que el tejido blando o el hueso, aparecen más livianos en un fluoroscopio o película de rayos X. Esta visibilidad proporciona el contraste necesario para colocar con precisión el dispositivo en el área afectada. El contraste y la nitidez de la imagen pueden variar según el tipo y la cantidad de radiopacificador utilizado. Mezclar varios materiales radioopacos puede producir mejores resultados que usar solo un tipo en una formulación. Entre los radiopacificadores más utilizados para dispositivos médicos se encuentran el sulfato de bario, los compuestos de bismuto y el tungsteno, metales que son excelentes absorbentes de rayos X.


Sulfato de bario

El sulfato de bario (BaSO4) fue el primer material radiopaco que se compuso ampliamente en las formulaciones médicas y es la carga más común utilizada con polímeros de grado médico. Es un material económico que cuesta aproximadamente 0.5 €/Kg su color blanco se puede cambiar con la adición de colorantes. Con un peso específico de 4.5 gr/cm3 , el sulfato de bario se usa generalmente en cargas de 20 a 40% en peso. Si bien un compuesto de sulfato de bario al 20% es típico para aplicaciones de dispositivos médicos de uso general, algunos profesionales prefieren un mayor grado de radiopacidad que el que puede proporcionar esa carga. Con tubos rayados, por ejemplo, un compuesto del 40% es estándar.

Bismuto

Considerablemente más caros que el bario de 12 - 18 €/Kg es de color amarillo, tiene una gravedad específica de 8,9 gr/cm3; el subcarbonato de bismuto tiene una graveda d específica de 8.0 gr/cm3; y el oxicloruro de bismuto (BiOCl) tiene una gravedad específica de 7.7 gr/cm3. Debido a la densidad, un compuesto de bismuto al 40% contiene solo aproximadamente la mitad de la relación de volumen que un compuesto de sulfato de bario al 40%. Dado que el bismuto produce una imagen más brillante, más nítida y de mayor contraste en una película de rayos X o fluoroscopio que el bario, se usa comúnmente cuando se requiere un alto nivel de radiopacidad. En comparación con el bario, también son posibles cargas más altas: incluso un compuesto de bismuto al 60% puede mantener las mismas propiedades mecánicas del polímero base que un compuesto de sulfato de bario al 40%. El bismuto es sensible a la composición y debe tratarse suavemente, con una mezcla de bajo cizallamiento recomendada para obtener resultados óptimos. Debido a sus altos niveles de radiopacidad, los rellenos de bismuto han crecido en popularidad.


Tungsteno

Un polvo de metal fino con una gravedad específica de 19.35 gr/cm3 , el tungsteno (W) es más del doble de denso que el bismuto y puede proporcionar un alto coeficiente de atenuación a un costo de aproximadamente de 18 €/Kg Una carga de 60% de tungsteno tiene aproximadamente la misma relación de volumen que un compuesto de bismuto al 40%. Los dispositivos se pueden hacer altamente radiopacos con cargas relativamente bajas de tungsteno, lo que permite mantener buenas propiedades mecánicas. Debido a su densidad, el tungsteno generalmente se selecciona como relleno para dispositivos de paredes muy delgadas. El tungsteno es de color negro, que no se puede cambiar con colorantes. Es abrasivo y puede causar un desgaste acelerado en extrusoras y otros equipos de procesamiento. Los dispositivos llenos de altas cargas de tungsteno exhibirán aspereza superficial. Debido a que el material invita a la oxidación en presencia de oxígeno y calor y es altamente inflamable, se debe tener cuidado al secarlo. Con los elastómeros, el sulfato de bario se mezcla mejor que los compuestos de tungsteno o bismuto.
,,,ethanol,mulsionner,mulsion,lectrique,lastomère,lastique,lasticit,,jection,jecteur,chantillon,à,ölen,ölbremse,äthanol,zwischen,zweifarbig,zur,zones,zone,zona,yield,work,with,white,well,welding,weld,weight,water,warpage,warm,wall,vuoto,vulkanisiertes,vulkanisierte,vulcanizzato,vulcanized,vulcanis,von,volum,trique,volumique,volumetrische,volumetrica,volumetric,volume,volatili,voie,void,vitesse,vite,vita,viscous,viscosità,viscosity,viscoelasticità,virgin,vinylique,vinylidène,vinylidene,vinyle,vinyl,vinilidene,vinilico,vinile,vie,vide,vicat,vibrazioni,vibrazione,vetro,talco,carbonato,wollastonite,caolino,policarbonato,acrilonitrile butadiene stirene,verniciata,verniciante,verni,vergine,verbrannt,vents,venting,vented,velocità,velocity,vegetale,varnished,variazione,vapore,vapor,vapeur,valvola,valve,vacuum,v,utensili,usin,unter,unten,uno,unlösliches,unitario,unitaire,unit,undercut,under,una,un,umidità,essicatura,deumidificazione,ultrasuoni,ultimate,ugello,type,twotone,tutte,tunnel,tubi,trovaste,trou,trazione,movimento,traverse,travail,trasformazione,trasferimento,transition,transfert,transfer,tramoggia,trafilatura,trafila,sm,tra,tr,torque,torpedo,torch,top,tool,tonnellaggio,tonnage,toggle,break,to,tirata,tirage,tipo,tip,tinto,time,tiebars,tiebarless,tie,rods,tie,bar,ejection,throat,threeplate,thinner,thinwall,thickness,thickener,thermosetting,thermoset,thermoplastischer,thermoplastique,thermoplastic,thermodurcissable,thermocouple,thermische,thermique,thermal,texture,textiles,tessili,terza,terra,termoplastico,termoplastica,termoindurente,termocoppia,termico,termica,terephthalate,tensioni,tensione,tension,tensil,tempo,temperature,temperatura,tecnopolimero,tecnico.,tamis,take off,taglio,tab,s,paration,para,s,gr,gation,synth,tique,synthèse,synthetische,synthetic,svergolamento,surface,sup,rieur,superposition,superficiale,suck,submarine,sub,su,stroke,stresses,stress strain,stress,strength,streak,stratifi,s,stratificanti,strati,strates,strain,stockage,stiffness,sticking,steam,stationary,staticità,statiche,stampo,stampatura,stampato,stampata,stampaggio,staccio,stabilizzante,stabilizer,stabilità,stability,stabili,spurgo,spugnoso,spugna,sprue,spots,spongieux,sponge,spirit,spina,spessore,speed,speck,specifico,spazzola,spazio,spalmatrice,spalmata,spacer,space,sovrastampaggio,sovra,sous,sottosquadro,sottomarina,sotto,sottile,sono,solventi,solvant,soluzione,solution,soluble,solubile,solidificazione,solidificata,solforico,solfati,sm;smorzatore,slug,slate,skin,size,sito,sintetico,sintetica,sink,sieve,sia,shrinkage,shot,short,shoit,shhet,shelf,sheets,shear,sforzo,sformo,sfoghi,sfiati,sf,settore,setola,set,resistenza,invecchiamento,ageing,analisi,e,senza,semicristallino,semicrystalline,segregation,segni,secondo,secco,screw,screpolatura,scorrimento,scolorimento,scelta,scellement,sbiadimento,sandwich,sample,saline,saldatura,s,r,ticulation,r,ticulant,r,sine,r,g,n,r,e,r,glage,rupture,runners,runnerless,runner,rugiada,rubber,rpm,rottura,rotomolding,poltrusione,rotazione,rosin,rod,ritiro,ritardata,ritardanti,risucchio,ristagno,rispetto,riscaldante,riscaldamento,risalita,rinvio,ring,rinforzante,rinfluenzano,rimacinato,rigidità,rigenerata,riferimento,riempitivo,riempimento,richieste,richiede,rib,reversal,return,reticolazione,retard,e,retardants,resinoso,resina,resin bonded,resin,residual,residua,residence,repères,renvoi,renforçante,renforcement,release,relative,relativa,reinforcing,reinforcement,regrind,regenerierte,regenerated,reciprocating,ratio,rate,raschiaolio,rapporto,rapide,ram,rallentata,ralenti,raggrinzimento,raggi,raffreddatore,raffreddamento,racle,raccolta,rabboccatura,questo,qsolo,p,trole,purging,punzonante,punto,punti,puntale,punta,pulv,riser,puller,pudern,pr,formage,protezione,proprietà,processo,processing,pressure,presso,pressione,presse,pressa,press,premiscelati,premiscelate,preghiamo,preforming,preformatura,pozzolanico,pozzolanica,pozzetto,power,powder,povere,pour,poudre,potenza,pot,post ritiro,post moulding,post molding,portata,pond,rale,ponderale,polystyrene,polypropylene,polymère,polymethyl,polymer,polyethylene,polycarbonate,polyamide,poly,methyl,ethylene,polvere,polmonatura,polivinile,polistirolo,polistirene,polishing,polipropilene,polimetilmetacrilato,polimero,polimeri,polietilentereftalato,polietilene,poliammidi,poliammide,poli,metil,point,poe,mah,maleica,plywood,plunger,platens,platen,plateaux,plateau,plate,plastische,plastique,plastificazione,plastificante,plastifiant,plasticizing,plasticizer,plasticating,plastica,plastic,placage,più,piuma,pit,pistone,piston,pin,pigmento,pigment,piastra,piano,piani,ph,nolique,physique,physikalischer,physical,phenolic,phase,pezzo,peso,perte,perno,permittivity,permeabilità,permanenza,permanente,permanent,perdita,percorso,per,pelo,pellicola,pelle,peel,peau;croute,path,passando,passaggio,parting,particolari,parete,par,papier,paper,pad,packing,ph,overmoulding,overmolding,ouverture,ouverte,ottica,ottenuto,osmotiche,orifizio,orifice,orientation,orientamento,organici,orange,or,optische,optique,optical,opening,open,opaque,opaco,omopolimero,oli,oleodinamico,ogni,offene,of,oben,o,nucleazione,nozzle,nostri,normative,non,nitrico,nitrati,nichtelastische,nervatura,nero,nello,necessarie,naturali,natural,n,m,thanol,m,lange,multiples,multiple,multicomponente,multicolore,multicavità,multi gating,multi component,multi colour,multi color,multi cavity,muffa,moving,movable,mousse,moul,mouler,moule,moulding,moulded in,moulded,mould,moulage,motor,monomero,monomer,monocappa,mol,culaire,molto,molti,molecular,molecolare,molding,mold,moisture,modulo,modellabili,mobile,mixed,mit,minerali,mineral,mfr,mfi,allungamento,flessione,metro,metilico,methanol,methacrylate,metering,meteorica,metanolo,metalli,metacrilato,mescolanza,mescola,mento,melting,melt,medie,medicale,mechanical,matière,materozza,materie,materia,shore,durezza,densità,compression,materiale,material,matarozza,masse,maschio,mark,mantenimento,manque,mano,manifold,mancanza,malte,makromolekulare,f,main,magre,maggior,magazzino,macroporosi,macromol,culaire,macromoleculare,macromolecular,machined,machine,macchine,lunghezza,lumière,luce,loss,longueur,locking,localizzato,local,loading,load deflection,load,lin,aire,lino,linguetta,lineare,linear,linea,line,limite,light,life,lichte,les,lente,lengthwise,length,legno,legante,lega,le,lay up,lavoro,lavoazione,laterale,laser,larghezza,largeur,land,lampant,lampade,lamp capping,laminates,laboratori,la,l'applicazione,l'aggiunta,k,rosène,kurz,kunstharzverleimtes,kristallin,knockout,knit,knife,knapp,kerosine,kerosene,kaolin,kalt,kalibermässige,jonc,joints,jig,jauge,jaquette,isotropico,isotropic,inversione,inversion,intrinsic,intrinseca,interne,intalcare,installed,installata,insoluble,insolubile,inserti,inorganici,injection,iniezione,iniettabili,inghisaggio,informazioni,industria,indurimento,indurente,incurvatura,incompleto,incompleta,incollaggio,inching,in,impregnanti,il,igroscopico,idropneumatico,idromeccanica,idrogeno,idrofugate,idrauliche,idraulica,idonei,i,härtbarer,hygroscopic,hydro mechanical,hydraulic,hot setting,hot,hose,hopper,homopolymer,hole,holding,hold,high,height,heating,heater,heat,head,haut,hardness,hand,guaine,belts,automotive,guaina,gruppo,gravit,gravità,gravity,grassi,grasse,granulatore,granulator,gradiente,gomma,goffratura,gocciolamento,goccia,glue,gloss,glass,givrage,giunzione,giuntare,giri/minuto,ginocchiera,gewölbt,geschlossene,gepresster,geformter,gedrängt,gauges,gate,gas,gas assistito,gas assisted,gardner,gamma,fuso,fusione,fuoco,funghi,anti,frozen,frosting,fronte,front,froid,freezing,freddo,freddi,fredda,freccia,frame,fra,forza,forward,forti,formatura,forma,force,forata,for,fontana,fond,foglie,flèche,flusso,flow,flour,flocon,flock,flash,flame,fixture,fixed,fisso,fissaggio,fissa,fisico meccaniche,fisico,fiocchi,finish,filling,fillers,filler,fillpack,fill,filière,filiera,fili,fibres,fibre,fibrate,fiamma,feutre,feuilles,ferro,fermeture,fenolico,fenditura,feltro,felt,feed,fattori,fase,fascia,fading,f;verjüngung,f;charge,extrusion,extendeur,extender,expansion,expanded,excès,ex.,etilico,ethanol,etanolo,et,estrazione,estrattore,estensori,essiccazione,essiccatore,essiccamento,essa,espulsore,espulsione,espanso,espansive,espansa,es.,entr,es,entre,engineering,enduit,en,emulsione,emulsionare,emulsionamento,emulsion,emulsifier,emulsification,emulgieren,empreinte,elongation,elettrostatica,elettriche.eventualmente,elettriche,elettrica,elektrische,electric,elastomero,elastomer,elastische,elasticità,elasticity,elastica,elastic,ejector,eines,einer,einem,eindicken,efflorescenza,efflorescence,edilizia,elettrodomestico,tools,iso6722,r7,r8,r18.e,edile,edge jointing,edge,ed,eccesso,eau,d,t,rioration,d,shydratation,d,pressionen,d,pouille,d,moulage,d,gradation,d,gazage,d,formation,d,composition,d,coloration,duttilità,dur,e,duret,durcissable,durch,durata,ductilit,ductility,du,drying,dryer,dry,drooling,draft;draw,draft,dowel,dovuto,douille,dosaggio,domed,doctor,docteur,di,lectrique,distribuzione,distortion,distanziatore,distance,distacco,distaccante,disque,disposizione,dispositivo,dispositif,dispertion,dispersione,dispersion,disidratazione,discoloration,disco,disc,direzione,diretta,direction,direct,dimère,dimero,dimer,diluente,diluant,dilatazione,dilatation,diffusivit,diffusività,diffusivity,diffusione,diffusion,difetto,dielettrico,dielettrica,dielektrischer,dielectric,die,diaphragme,diaphragm,diagramme,diagramma,diaframma,di,deumidificata,deumidificanti,deteriorazione,deterioration,desiccant,des,der,density,den,dell’impasto,dell’acido,dello,delle,della,dell'ugello,dell'espulsore,dell'ambiente,dell'acqua,del,dei,dehydratation,degradazione,degradation,degradabili,degasaggio,deformazione,deformation,deflection,defect,decompression,decomposizione,decomposition,dead,daylight,dash,damping,dall'alto,dal,da,jection,jecteur,une,un,injection,iniezione,humidit,extrusion,eau,aria,arancio,apporto,apport,alimentazione,alimentation,acqua,cylindre,cylinder,cycle,cushion,cuscino,cuscinetto,curve,curva,cure,culot,culatta,cuisson,cr,sol,crystalline,crosta,crosswise,crosslinking,crosslinking,cristallino,crine,crin,cresolo,cresol,creep,crazing,craze,cratère,cratere,crater,cracking,crack,course,coul,e,couleur,coubre,cottura,cotton,cotto,cotone,coton,costruzioni,costante,costampaggio,cospargere,corsa,corrosione,corrosion,corps,corpo,core,coprente,coppia,copolym,risation,copolym,re,copolymerization,copolymer,copolycondensation,copolimero,copolimerizzazione,copolicondensazione,cooling,contropressione,controllato,contreplaqu,contrainte d,formation,contraibilità,contenimento,contatto,contattare,contact,constant,conservazione,connecting,conicità,conformatrice,conformatore,conformateur,confluenza,conductivit,conductivity,conducibilità,condensazione,condensation,condensa,con,compressione,compound,compoundare,compostabili,compensato,compattamento,compatibilizzante,fibra,compatibilit,compatibilità,compatibility,commutazione,come,column,coltella,colour,colore,colorante,colorant,colophony,colophane,colonne,colonna,colofonia,collier,colletta,colle,collare,collapse,colla,coleur,cold setting,cold,colata,colabili,coiniezione,coestrusione,coated,coagulazione,coagulation,co injection,closing,closed,cloruro,cloruri,cloroprene,cloro acetato,cloridrico,clearance,clay,classe,clamp,circolazione,ciment,cilindro,ciclo,châssis,chlorure,chloroprène,chloroprene,chloride,chlorac,tate,chiusura,chiusa,china,chimique,chimico,chimica,cherosene,chemischer,chemical,che,chaîne,chauffant,chauffage,chaud,chase,chargement,charge,channel,chambre,chamber,chalumeau,chain,centratura,cemento,cement,cellulose,cellulosa,cellule,cellulare,cellular,cellulaire,cellula,cell,cavit,cavità,cavity,cavi,catena,catalyst,catalyseur,catalizzatore,cas,ine,casting,cassa,caseina,casein,casalingo,cartuccia,cartridge,carta,carro,carriage,carotte,carota,carico deformazione,carico,cariche,caricamento,carica,carboxym,thyl,carboxymethyl,carbossimetilcellulosa,capillare,capacit,capacità,capacity,caoutchouc,cannello,canali,canale,canal,campione,camicia,camera,calore,calendering,calender,caldo,caldi,caldana,calda,gesso,calcio,calcestruzzo,calandre,calandratura,calandrage,calandra,but,e,butyrate,butyral,butirrale,bushing,bush,buse,burned,burn,bulle,buccia,bubbler,bubble,brûl,brunitura,bruciatura,bruciato,bristle,brinatura,brillantezza,brillance,breathing,breaker,bozza,bowl,boudineuse,bottom,bottle,bossage,boss,bomb,bombato,bolster,bolla,body,boccola,bocchettone,bocca,bob,blueing,bloom,blocs,blocking,blockcopolymerization,blockcopolymer,block,blocco,bloc,bleuissement,blend,bleibende,blau,blanket,blanc,black,biniezione,bicolore,between,beschichtetes,benzyl,benzine,benzilcellulosa,profili,beim,bearbeiteter,bavure;toile,bava,bastone,bastarde,basso,barrel,barre,barra,bar,band,baguette,bague,baffle,back,bacchetta,a,rohydraulique,avvallamento,avec,automatisches,automatischer,automatique,automatico,automatica,automatic,au,attrito,attrezzati,attraverso,attenuazione,atmosferici,atattico,ataktisch,atactique,atactic,assorbimento,assistito,assistita,ascendente,asbestos,aria,ardoise,ardesia,appui,apprêt,appretto,apparente,apertura,aperta,antistatico,antiritiro,antioxydant,antioxidant,antiossidante,anticarbonatazione,antiadesivo,antistatique,antistatic,antiadh,rent,anistropy,anistropie,anistropia,anisotropico,anisotropic,anima,angolo,angle,anello,and,anchor,anche,analysis,analyse,an,ampoules,amortisseur,amortissement,amorphous,amorphe,amorph;gestaltlos;nicht,amorfo,ammortizzatore,ammortizzamento,ammonio,amminoplasto,aminoplastic,aminoplaste,amianto,amiante,al,sage,alv,ole,alveolo,altri,alto,alpha cellulose,alpha,allungante,alluminoso,alloy,allongement,allo,alla,all'idrolisi,all'abrasione,alimentazione,alimentation,alimentare,alginato,alginate,alfa,alesaggio,alcool,alcohol,al,air hydraulic,air,ai,agli,agg,agente,agent,affaissement,aeree,adjuvant,adh,sivit,adh,sif,adh,rence,adhesiveness,adhesive;glue,adhesive,adesivo,adesività,adesiva,adesione,aderenza,additivo,additivi,additive,addensare,addensante,ad,ac,to butyrate,ac,tate,ac,tal,acrylonitrile butadiene stirene,acqueo,acquaragia,aceto butirrato,acetato,acetate,acetale,acetal,acc,l,rateur,accumulatore,accumulator,accumulateur,accostamento,accelerator,accelerante,absorption,abrasione,abrasion,abrasimetro,copoliestere,copes,compatibilizzanti,gomme,copoliammide,vinylbutyral,vinylalkohol,vinylacetat,vinylacetal,vichy,ventilato,vdo,v/p,uretano,uv,usp,tpa,astm,iec,ul,sae,fda,eec,turapori,trementina,traspirante,transfer,tixotropia,termoigrometro,termocappotto,tempera,tampone,tpc,tg,teee,t4,supporto,sughero,substrato,stucco,streuung,streichmesser,streckmittel,stratificazione,staggiatura,stab,squamatura,spruzzo,spolveratura,spessimetro,sperrholz,spazzolatura,spannungs,solvente,sollevamento,solidi,solfato,smalto,siliconi,silicone,silice,silicati,sigillante,scagliola,sbiancamento,sanguinamento,sali,sale,sabbie,sabbiatura,sabbia,rückdrückstift,rullo,ruggine,rubb out,rivestimento,ritenzione,ripristino,rinzaffo,rigature,richtvorrichtung,rialcalinizzante,retinamento,resine,residuo,resa,repellenza,reoplastica,reologia,reissfestigkeit,reazione,rasatura,rasante,rahmen,querrichtung,querhaupt,puntinatura,promotori,prodotto,primer,pozzolana,potere,pot life,portland,porosità,pore,polimerizzazione,polimerico,platten,plastificanti,plasticità,pittura,pistola,piombo,pigmenti,pigmentato,pietrischi,piana,phenol,ktw,statico,batterico,funghicida,hard,soft,segment,martindale,isolante,intumescenza,intonaco,intonaci,iniettabile,inibitore,ingiallimento,inerti,inerte,impolmonimento,impermeabilizzante,immersione,igroscopicità,ignifugo,idrosabbiatura,idrorepellenza,idropulitura,idropittura,idrofugazione,idrocarburi,iso,härtung,härte,gesso,formazione,folien,floating,finitura,filzscheibe,filmazione,film,fibrorinforzato,fessure,fessurazioni,evaporazione,essiccante,espansivo,epossidica,entlüften,entformungsmittel,emulsionstyp,emulsionsbildung,emulgierarbeit,elastomerica,elastomeri,termoplastici,tpo,tpv,sebs,sbs,tpu,tpee,tpe a,pvc,tpc et,tpe o,tpe s,tps,tpe v,tpe,elastomere,dispersore,dimere,diluenti,costretti,corporatura,copolymerisation,copolymerisat,copolykondensation,copertura,controspinta,consolidante,conglomerato,composti,colpi,colatura,coesione,coefficiente,cocciopesto,coating,cloro,caucciù,chroma,chloropren,chassis,cere,celluloseacetobutyrat,celluloseacetat,cavillature,caucciù,catrame,catalisi,carteggiatura,carbossimethylcellulose,carbonatazione,carbon,capocchie,capillari,buchse,bruch,bremszylinder,borste,bohrung,blockpolymerisat,blockmischpolymerisation,blocken,blase,benzylcellulose,azione,autolivellante,assorbitori,asfalto,asbest,argilla,appretur,applicabilità,appiccicosità,antyoxidans,antivegetativa,antistatikum,antischiuma,antiruggine,antimuffa,antiacido/a,anschnitt,anlaufen,angusszieher,angussverteiler,angussbuchse,anguss,ancoraggio,ammide,aminoplast,alginat,alchidica,airless,airmix,aggregato,agenti,affresco,aerosol,aerografo,acrilico,acetone,2k,estrusione,pom,pe,pipe,oxo,lama,l'allungamento,l'impatto,charpy,izod,bio,alle,ttir,din,dsc,vischiosa,superficie,ali,resistenza,potenziale,abs,acrilonitrilo,butadieno,estireno,cm,cauchos,polietileno,clorado,acm,elastómero,ster,acrílico,cloroetilvini,ter,cmg,carboxi,metilcelulosa,acs,polietilenoclorado,cn,nitrocelulosa,aes,acrílonítnlo,etilpropileno,co,epiclorhidrina,polímeros,amida,imida,cp,propionato,celulosa,amma,metilo,cpe,anm,copolímero,cpvc,policloruro,vinilo,arp,plástico,reforzado,cr,cloropreno,asa,cs,caseína,poliuretano,poli,ster,csm,dorosulfonado,biir,isobutileno,isopropeno,bromado,csr,bk,baquelita,ctfe,políclorotrifluoro,etileno,br,eco,epjclorhidrina,brp,boro,eea,acrilato,etilo,ca,ep,propileno,cab,acetobutirato,epoxi,cap,acetopropionato,epd,terpolímero,dieno,car,carbono,epdm,cel,celuloide,epe,ester,epoxídico,cf,formaldehído,epfv,vidrio,cfm,cloruro,trifluoretileno,epm,cfrp,epr,chr,eps,poliestireno,expandible,acrónimos,ept,terpolimero,polisulfuro,mdpe,media,densidad,etfe,tetrafluoroetileno,mf,melamina,eu,caucho,poli,teres,mfrp,metálica,eva,mpf,metamina,fenol,eval,vinílico,mwrp,whiskers,nbr,fep,hexafluoropropileno,ncr,fpm,fluoruro,vinilideno,y,hexafluoruro,nir,isopreno,fsi,silicona,grupos,fluorados,nr,elastómero,isopreno,gpps,cristal,opp,polipropileno,orientado,tg,opvc,osa,modificado,olefina,grp,pa,poliamida,pa11,polímero,ácido,amino,11,undecanóico,hdpe,alta,pa12,dodecanolactama,hips,impacto,εcaprolactama,iir,pa6/12,6,im,poliisobutileno,pa610,hexametilendiamina,sebácico,ir,sint,tico,pa612,dodecanóico,lcp,liquido,trimetil,tereftálico,lope,baja,adípico,lldpe,lineal,pa66/610,ácidos,mbs,paa,ácido,acrílico,pai,petg,politereftalato,pan,poliacrilonitrilo,pf,papi,polifenil,isocianato,polimetileno,pfep,polifluoroetilenpropileno,parfv,reforzada,pi,poliimida,pb,polibuteno,pib,polibutadieno,pir,isocianurato,pban,pmi,polimetacrilamida,pbi,polibecimidazol,pmma,metacrilato,metilo,pbr,piridina,pmp,metil,4,penteno,1,butileno,óxido,propileno,polioximetileno,poliformaldehído,poliacetal,pctfe,policlorotrifluoroetileno,pdap,ftalato,dialilo,ppc,ppo,óxido,fenileno,pead,ppox,polipropileno,pebd,pprfv,pec,polísulfuro,peek,polieteretercetona,ppso,polifenisulfona,pei,polieterimida,ppsu,fenil,n,sulfon,peo,etileno,prfv,peox,etileno,ps,pep,psgp,pes,ter,pshi,pet,psbr,pse,sl,siliconas,psi,si,psu,polisulfona,sir,pife,politetrafluoroetileno,sma,anhídrido,maleico,pu,sms,pur,sp,saturado,pvac,poliacetato,tfe,politrifluoromocloroefileno,pval,alcohol,vinílico,termoplástico,pvb,butirato,vinilo,tpx,metilpenteno,pvcc,dorado,uf,urea,pvdc,vinilideno,uhmwpe,ultra,pvdf,fluoruro,up,insaturado,plástico,uretano,pvf,vce,pvfm,vinil,formaldehído,vcema,pvk,polivinilcarbazo,vceva,pvp,polivinil,pirrolidona,vcma,rf,resorcina,vcmma,san,vcoa,octilo,sb,vcvac,sbr,vcvdc,vpe,reticulado,scr,fenílicos,vinílicos,sfrp,sint,tica,vsi,r18,abr,acrilicobutadieno, ácidos grasos, índice de refracción, índice tixotrópico, ,ster de celulosa, ópticas, óxido de zinc, 1.2 polibutadieno sindiotattico, sanitary ,standards, 5g, aba, ablación, abrasión del tpu, abrasion, abreviaturas plasticos, abrillantador ópticos, abrillantador de elastomeros, abs sma, abs tpu, abs, absorción de agua en 24 horas (24 h), absorción de agua por saturación, absorción de humedad, absorción de sonido, abs pbt, abs pest, abs pet, abs pvc, acabado del molde, aceite de cardanol, aceite de linaza epoxidado, aceite de ricino, aceite de soja, aceite vegetales, aceite, aceites, aceleradores para cauchos, aceleradores, acetal, aclararante, acm, acms, acondicionadores de aire, acoplamientos de inserción flexible, acoplante, acrónimos, acrilatos, acrilonitrilo butadieno estireno, acrilonitrilo, acs, adhesión a subestarto, adhesión de elastómeros, adhesión mecanica, adhesión, adhesion a los metales, adhesion al corte, adhesion corte, adhesivo, aditivos de curado de peróxido, aditivos, admin adyuvantes, aem, aes, agente antireversión, agente compostable, agente de acoplo, agente espumante, agente pro degradante, agentes antibloqueo, agentes antiempa¤antes, agentes de homogeneización, agentes de pegajosidad, agentes desgasificadores, agentes homogeneizantes, agentes humectantes, agentes matizante, agentes nucleantes, agrietamiento por tensión, agrietamiento, agua, alabeo, alambre, aleación, aletas, alfa olefinas lineales, alloy, almidón, almohadilla, almohadillas, alto grip, amarillamiento, amida en bloque, amida, amorfos, anelasticidad, anhídrido maleico estireno, anillo y bola, anillos rascadores, anisotropía, annealing, anti huella, anti olor, anti scratch, anti squeak, anti uv, antiadherentes, antiaglomerantes, anti bacterial, antibloqueantes, antidegradantes, antideslizante, anti estático permanente, antiestatico, antioxidantes, anti ozonante, anti slip, anti stick, antivaho, antivibración, apantallamiento electromagn,tico, apet, aplicaciónes biopolímeros, aplicaciones industriales, aplicaciones, ara¤azos, aretes de ganado, aretes de ganados, arizona uv, arquitecturas de bloques, arquitecturas de polímeros, as 9100, asa transparente, asa, asa pvc, asesoramiento, asiento de seguridad, asiento retr ctil, asientos de estadio, aspect ratio, aspecto tpe, astm d2000, astm d790 , iso 178, astm, aumentar fluidez sbs, aumentar fluidez sebs, aumentar fluidez seeps, autoignición, automotriz, autooxidación, ayudas de proceso, ball pressure test, bam, banda de tigres, bandas pu para el transporte, baquelita, barrera y permeación, batería, bellows, bentonita, betún modificado, bgvv, bi inyección, biir, bio pa, bio pc, bio pe, bio pet, bio plastificantes, bio pp, bio pta, bio ptt, bio pvc, biodegradabilidad, biomasa, biopolímeros, biosolventes, birrefringencia, blends mezclas, blindaje emi, blog blog, blooming, bloque, bloques, blow molding, bmc, bmi, bolas, bolsa de aire, bolsas de pl stico, bolso, bolsos, bombas de engranajes, boquillas de aire, bota de esquí, botas de granjero, botas de lluvia transparentes, botas de seguridad, botas no pvc, botas, br, bracket, br polibutadieno, bs6920, burbujas, burletes, c,sped artificial, cómo definirías el concepto de polimero, ca, cable segmento t4 150, cable, cables en espiral, cafe, caking, calidad, calorímetro de cono, calzado deportivo, canal de cables, caolín, caprolactama, captcha caravanas, carbon black, carbonato de propileno, carbonatos de calcio, carboxilación, carcasa del filtro, carcasa para palanca de cambios, carga y renfuerzos, cargas, cargas minerales, cart cas number, caseinato, catalizador, caucho de estireno, caucho sintetico, caucho, cauchos de halobutilo, cbt, cenizas, cepillo de dientes, cera de polietileno, cera montanica, ceras, chaleco antibalas, charpy vs izod, charpy, chiller, chopped strands, ciir, cilindros hidr ulicos, cinturón de seguridad, cizallamiento, clasificación de los biopolímeros, clasificación de los elastómeros, clasificación de los electrodom,sticos, clasificación de los polímeros, clasificación de polimeros, clasificacion del butadieno estireno, climatización, cm, co2 equivalente, coc, codigos de reciclaje, coeficiente de expansión lineal, coeficientes de fricción, co extrusión, cof, colada fría, colectores de aspiración, colectores solares, coloración, combustión, compatibilizar, componentes de coches el,ctricos, componentes el,ctricos, componentes sillas, comportamiento a la flama, composites, compostable versus reciclable, compound, compression set, compuestos alta densidad, concentracion y orientacion, condiciones de inyección del pa6, condiciones de inyección del pbt, conductividad t,rmica, congo test, consejos de formulacion, consejos de procesos, constante diel,ctrica, contactos, contrafuerte, conversión entre unidad de misura, conversione impacto, conversione modulus, conversione temperatura, cookies, copes, copolímero de bloque estir,nico, copolímero de bloques, copolímeros acrílicos, copolímeros de acrilo, copolímeros de bloque de estireno, copolímeros de bloque de estireno butadieno, copolímeros de bloque olefínicos, copolímeros de estireno, copolímeros de etileno, copolímeros de etileno alfa olefina, copolímeros de polietileno, copolímeros del estireno, copolímeros, copoli,steres arom ticos alif ticos, copoliamidas semi arom ticas, copolimerización de etileno, copolimero de etileno y acetato de vinilo, copoliŠster transparent, copoliŠster, corcho sintetico, core back, corona vs. plasma, corona, cortafuegos, cortar en cubitos, corte termico, covid 19, cowl grille, cp, cpe, cpk, cr, crazing, cristalinidad, cristalinos o amorfos, cristalización, cross linked density, csm, cti, ctle, cu les son las poliamidas, cu les son los diferentes tipos de tpe, cuarteadura, cubierta de motor, cubiertas de balancines, cumarona, cvj bota, cvj botas, damping, dap, dardo, de mattia flex, decoracion en molde imd, dedos desplumadores, defectos de moldeo, defectos en los polímeros, definiciones que se aplican específicamente a los pl sticos, deformación, degradación mec nica, degradación química, degradación, degradacion termica del poliestireno, degradante para polimeros, delaminación de capas, densidad aparente, densidad compactada, densidad del fundido, densidad reticulacion, densidad, densificador, desactivadores de metales, desarrollo de nuevo polímeros, descarga electrost tica, desgarre, desgarro, desgaste, deslizamiento, desplumadores, deta, devanado de filamentos, devulcanización, dióxido de cloro, dióxido de titanio, die drool, die swell, die swelling, diferencia entre eva y sbs espumado, diferencia entre hdpe y el ldpe, diferencia entre ldpe y el hdpe, diferencia entre pa6 y pa66, diferencia entre sbs y eva espumado, diferencia entre sbs y sbr, diferencia entre sbs y sebs, diferencia entre tpe y epdm, diferencia entre tpv y tpe, diferencia entre tpv y tpo, diferencias entre pa y pi, diferencias entre pa6 y pa6, diferencias entre tpe y pvc, diferencias entre tpe y silicona, diferencias entre tpe y tpu, difrencia entre pvc vs sebs, difrencia entre sbr y sbc, difrencia entre sebs vs. seeps, din, dis, dmso, dmta, dryer, dsc, ductos, dureza, dvgw, e&e, ebs, efecto disco, efecto gough joule, efecto invernadero, efecto jetting, efecto madreperla, elastómero lineal, elastómero radiales, elastómero ramificado, elastómeros estrella, elastómeros biodegradables, elastómeros de aramida, elastómeros de pp etileno, elastómeros termopl…sticos, elastómeros y aceites, elastómeros y gases, elasticidad, elastomero, elastomero lineal, elastomeros, elastomeros de aramida, Elenco.txt elf, emblanquecimiento, emisiones (voc), empaques para puertas de equipos de refrigeración, empaques, encapsulación, encogimiento, encogimientos, endurecedores, enfriamiento vs pared, engranajes, enlace químico, enlaces químicos, ensayo piel de tiburón, ensayo tensión superficial, ensayos de resistencia a líquidos, ensayos mec nicos, entrecruzados, entresuela, envases, envejecimiento acelerado uv, envejecimiento por calor, envejecimiento, ep(d)m, epdm sulfonado, epdm, epp, epr, eps, erosión ao, escotilla de puerta, espejos exteriores, espuma de poliuretano, espumado, espumas, estabilidad dimensional, estabilizadores, estereoisomería, estereolitogr fico, esterilización, estir,nico de alto calor, estirenicos transparentes, estirenicos, estireno acrilonitrilo, estireno butileno estireno, estireno etileno butileno estireno, estireno butileno estireno, estireno etileno butileno estireno, estructura elastómero, estructura polímeros, etfe, etileno vinil acetato, etilvinilacetato, etpv, e tpv, eva foamed, eva, evaluación de la degradación, evaluación sensorial, evoh, extensores de cadena, exterior vehículo, extrusión reactiva, extrusion pvc, extrusion, factores estructurales, falla por fatiga, falta de resistencia, fanales, faro delantero, faro trasero, fase gaseosa, fda, fem, fender, fibra de raquis, fibra larga lftr, fibras de carbono, fibras de vidrio cortas, fibras de vidrio largas, fibras de vidrio, fibras vegetales, files film casting, fkm, flash point, flexómetro, floración, florida uv, fluidez, flujo de los polímeros, fluoración, fluoropolímeros, fmvss 302, fmvss302, foaming agent, fogging test, fogging, folifosfacenos, formulario de contacto, forum, foto oxidación, fotocat lisis bactericida, fotodegradación, fractura de los polímeros, fricción, front end2, ftir, fuelles neum ticos, fuerza de desgarro, fuerza intermolecular, fuerzas intermoleculares, fundición de polímero, fusión, fusion, galvanoplastia, gels, geopolim,ros, glass encapsulation, glosario del pl stico, gloss, gmt, goma de silicona líquida, goma eva, gpc, grado de polimerización (dp), grafeno, grafting, granulación, granuladora de anillo de agua, granuladoras espagueti, granuladoras, granuladores subacu ticos, grieta y fisura, grip, grupo m, grupo o, grupo q, grupo r, grupo u, grupo z, guía de inyección de polipropileno, guantes, guardabarros, gutapercha, gwt, hai, halogenación, hardness, haze, hdl, hdpe, hdt, herramientas manuales, hidrólisis, hidróxidos met licos, hidrogeles, hidrogenación, higroscópico, hilo incandescente, hilo para impresion 3d, hinchazón, hips, hist,resis, historia de los elastómeros, historia de los polimeros, hnbr, home, hopkinson bar, hormas, hot runner, hpa, hule, hules, humedad en la poliamida, humedades, hwi, icp ms, iir, images imd, imemail imiv, imlogin, impacto de gardner, impacto, impresion 3d, improve abrasion tpu, improve hot air and oil swelling resistance in tpv, improve melt flow index, imsearch, imsitemap, incoterms, index, indice de amarillamiento, inhibidores de prevulcanización, inserto met lico, in shell lining process, interior vehículo, inyección multicomponente, inyeccion asistida con gas, inyeccion de proyectiles, inyeccion, ionómeros, ir, iso 1629, iso 9001, iso, iso75, isomería en polímeros, isotropía, izod iso 180 astm d256, izod, jungle test, juntas magn,ticas, kalahari uv, kink, ktw, l tex natural, línea de plata, línea de soldadura, líneas de combustible, líneas de tigre, laboratorio, latex, lavadora carga superior, lavadora, lavadoras, lcp, ldpe, lfi, libreria, lignina, linea de soldadura, litografía, litopón, lldpe, loderas, loi, los compuestos de fibra larga, los elastómeros, los pl sticos para vehículos el,ctricos, los pl sticos, los polimeros difusores, los polimeros, los primeros polimeros, lubricantes, luminiscencia, luz de cortesía, lvavajillas, m,todos para evaluar la degradación, m,xico, mabs, macromol,culas lineales y ramificadas, maleta, mamparas, manguera hidraulica, manguera, mangueras para rodillos, mangueras, maquiladora de bolsos, maquiladora de calzado, marcado laser, marcas de flujo, marcas de quemaduras, marcas de rechupe, masterbatch, master batch, material frío, materiales para suelas, materiales plasticós en el automotriz, materiales plasticos, materias primas de base bio, mb de silicona, mbs, mdpe, mecanismo char, mecanismo de fase gaseosa, mecanismo de goteo, mecanismo de intumescencia, mecanizado de pl stico, medición humedad, medidas de biodegradación, mejoras de formulacion, melt fracture, menu metacrilato butadiene estireno, metalización de pl sticos, metaloceno, metamerismo, meteorización acelerada, meteorización, mex, mexpol, mezclas acrílicas, mezclas con cpe, mezclas, mfi, mfr, mica, microesferas de vidrio, microesferas huecas, micropercusión, migración, mms, modificador de impacto, modificador de reologia, modulo a flexion, modulo de traccion, molde, moldeo de insertos met licos, moldeo por compresión de goma, moldeo por inyección de espuma, moldeo por inyección de pared delgada, moldeo por soplado, moldeo por succión, moldeo por transferencia, moldeo rotacional, moldeo científico, molienda criog,nica, molinos, mooney, morfología de tpe, mpr, muelles neum ticos, mvr, número abbe, naftenicos, nanocarga laminados, nanocelulosa, nanocompuestos, nanofillers laminados carbono, nanotecnología, nanotubos, natura de los biopolímeros, nbr, necking, negro de humo, neum tico, neutralización de olores, nigrosina, nmr, no polares, noise, nomenclatura de polimeros, nonwovens, norme, nsf 51, nsf 61, oem, off spec, oil swelling, oit, olor de los polímeros, orientación, origen de los polímeros, otr, otras, overmolding, oxidación termica, oxo degradable, ozono, p.v., pa 4.i, pa 4t, pa 5t, pa 6 aniónica, pa 6 ramificado, pa 6, pa 6.i, pa 6.t 6.6, pa 6t, pa 9t, pa m5t, pa mxd6, pa, pa1010, pa1012, pa10t, pa11, pa11 10t, pa12 macm, pa12, pa1212, pa12t, pa3, pa4.10, pa4, pa412, pa46, pa48, pa49, pa5, pa56, pa6, pa610, pa612, pa63, pa66, pa68, pa69, pa abs, paas, pa asa, packaging, pae, paes, pai, pam, pan, pantone, pa pp, papxd10, par, para, parachoques, parison sag, parrillas, partitioning agent, pa san, pb 1, pbat, pbe, pbe polimero base etileno, pbi, pbit, pbn, pbs, pbt asa, pbt, pc abs, pc asa, pc, pcd, pcl, pcm, pc pbt, pc pp, pc san, pcss pct, pc tpu, pdms, pea, peba, pe ba, pedal box, peek, peeling, pegamentos, pegar el pl stico, pei, película, películas sopladas, pen, pentóxido de antimonio, pep, peptizantes, peque¤a llama, peque¤os electrodom,sticos, perfil dados, perfil de tornillos, permeabilidad, pes, peso especifico, peso molecular vs, pet g, pet pe, pet, pex, pga, ph, pha, phvb, pib, piel de naranja, piel de tiburón, piezas incompletas, piezoelectricidad, pigmentos, pintado de pl stico, pinturas, pirólisis, piritiona de zinc, pit, plástico que se calienta en el microondas, plástico, plásticos commodities, plásticos detectables rayos x, plásticos reciclados, plásticos, pla, placa caliente, plantilla, plasma, plasticos de ingenieria mexico, plasticos resistentes a radiacion uv, plastificante, pmbl, pmi, pmma abs, pmma, pmp, pmvk, pnr, poe, poisson's ratio, polímeros conductores el,ctricos, polímeros de base biológica, polímeros difusores, polímeros electroactivos, polímeros expandido, polímeros funcionales, polímeros inorg nicos, polímeros org nicos, polímeros super absorbentes, polímeros, polmeros, polares, polaridad, poli (p xilileno) ppx, poliímida, poli,ster insaturado, poli,steres arom ticos, poli,steres alif ticos, poli,steres, poli,ter amida en bloque, poli,teres arom ticos, poliamida amorfa, poliamida termofija, poliamidas alifaticas, poliamidas arom ticas, poliamidas semi aromaticas, poliamidas, polibutadieno sindiotattico, polibutadieno, policarbodiimida, policarbonato, policarbonatos, policetonas arom ticos, policetonas alif ticas, policloruro de vinilo, polidimetilsiloxano, polielectrolito, poliepiclorhidrina, poliestannanos, poliestireno, poliestirenos, polietileno clorado, polietileno de alta densidad, polietileno de baja densidad, polietileno, polietilenoctene, polietilenos modificados, polietilenos, polifosfacenos, poligermanos, polimerización, polimeros conductores, poliolefinas, polioles de aceites vegetales, polirreacción, poliŠster, poliŠtere alif ticos, poliŠteres alif ticos, poliŠteres, polisulfonas, poliuretano a base de policarbonato, poliuretano en zapatos, poliuretano espumado, poliuretano termopl stico, poliuretano, poliuretanos, polypedia, pom, porta fusibles, portafusibles, portal mparas, portavasos, poss, post polimerización, power tools, pp fv, pp cargado, pp con carga, pp con fibra, pp e ppk, pp epdm vulcanizado, pp gf, pp, ppa, ppap, p pap, ppdo, ppe, ppo pa, ppo pp, ppo ps, pp poe vulcanizado, pp poe curado, pps, ppsu, ppx, presión volumen temperatura, probetas iso 527, proceso de vulcanización, proceso en fase slurry, proceso en solución, procesos esteticos, propiedades ópticas, propiedades acústicas, propiedades de los polímeros, propiedades de superficie, propiedades eléctricas, propiedades físicas, propiedades químicas, proposición de ley, protección de peatones, prube de intemperismo, prueba de agrietamiento, prueba de beilstein, prueba de fluencia lenta, prueba de flujo en espiral, prueba de lapiz, prueba de llama, pruebas de vibración, pruebas termicas, ps, psr, psu, ptfe, ptt, pu, puertas de inyección, pultrusion, punteras, purgas, procedimiento, pvc, pvc c, pvc pmma, pvc tpu, pvdc, pvdf, pvk, pvoh, pvt, qu, elastómero ofrece la mejor resistencia a la abrasión, qu, elastómero ofrece la mejor resistencia a la flexión, qu, elastómero ofrece la mejor resistencia a la intemperie, qu, elastómero ofrece la mejor resistencia al aceite y al combustible, compression set, es el material tpu, qu, es el moldeo cientifico, qu, es el poli,ster, qu, es la hist,resis, qu, es un elastomero termoplastico, qu, son los monómeros, qu, son los pl sticos biodegradable, qu, son los pl sticos biodegradables, qu, son los pl sticos, qu, son los polímeros y cómo se clasifican, qu, son los polímeros, qu, son los termopl sticos, qu, tipo de material es tpe, que es el tpe, quitosano, r fagas, radiación electromagn,tica, radiación ionizante, radiopaco, rafia, rail pad, ral, raporto l/d, rastrillo de afeitar, rayados, rebabas, reciclaje, reciclar el pl stico, recocido, recubrimientos ruedas, reemplazando a los metales, reemplazo de metales, reflejo de sonido, reforzado con fibra de vidrio, refrigeradores, regulaciones nacionales y de la ue, regulaciones y la legislación automóviles, relación l d, relacion de aspecto l d, relajación de estr,s, res resbalo, resiliencia, resina epoxica, resinas arom ticas y alif ticas c5 y c9, resinas de amina, resinas de hidrocarburo, resinas de poli,ster, resinas fenólicas, resinas novolak, resinas sbc en selladores, resinas, resistencia a la abrasión, resistencia a la flexión, resistencia a la punción, resistencia al aceite y al calor tpe, resistencia al arco, resistencia al desgaste, resistencia al fundido, resistencia al impacto de caída de peso, resistencia al ozono, resistencia de rebote, resistencia quimica, resistentes a radiacion, resistividad de volumen, resistividad superficial, resonador de conducto turbo, retardante de flama, retardante de llama eps, retardante de llama eps y xps, retardantes, reticulación de biopolímeros, reticulación, revestimiento de resina, revestimiento por extrusión, rigidez diel,ctrica, rim, rines de plastico, robots.txt roscas, rosin resina, r rim, rtm, ruido de los automóviles, sílice pirog,nica, sílice precipitada, sílice, súperpolímeros, sales de plata, sams, saturación, saturados e insaturados, sbbs, sbbs, sbc rígido, sbc, sbr caucho, sbr, sbs estireno butileno estireno, sbs, sb s, sbs, scratch, sebs alta resistencia termica, sebs alto brillo, sebs alto termo, sebs ers, sebs m,dico, sebs overmolding, 2k, sebs tpu, sebs transparente, sebs, seb s, s e b s, sebs, sebs ers, sebs transparente, secado, secadora, seeps, se ep s, s eep s, seeps, segmentos automotriz, semi cristalinos, seps, serigrafía, servicios inyección, shear rate, shear, shelf life, shrinkage, shrinkages, shroud, sibs, s i b s, sibs, silanos, silicona, sillas de jardin, sillas operativas, sillas sala de espera, sillas, sinterización, sinterizado l ser, sis, sis162602, sis, sistema de asientos, sitemap.xml slush molding, sma, smanh, smc, smma, sms, sobremolde, sociedad, soldadura de gas caliente, soldadura de p,ndulo, soldadura l ser, soldadura por aire caliente, soldadura por fricción (rotacional), soldadura por inducción, soldadura por infrarojos, soldadura por microonda, soldadura por vibración, soldadura ultrasónica, soldadura, soldadura por alta frecuencia, solubilidad polímeros, soplado, soporte bateria, soporte palanca de cambios, spheripol process, s rim, srp, staining, steering boots, stress cracking resistance, stress relaxation, stress relaxations, stress strain, style styrenic block copolymers tps, sublimación 3d, suela goma natural, suela tpr, suelas espumadas, suelas tpu mas ligero, suela tr, suitecase, sujetadores, sulfato de bario, sulfonación, surfactantes, swelling, tabla polímeros transparentes, tablero de instrumentos, tablero, tackifer, tacon, tacticidad, talón de gel, talco, tama¤o de partícula, tampilla de combustible, tampografía, taninos, tanque de expansion, tanques de combustible, tanques de gasolina, tapetes, tasa de transmisión de vapor mvtr, tear strength, tecnopolímeros, teee, telerruptor, temperatura de fragilidad, temperatura m xima de servicio, temperatura mínima de servicio, temperaturas de autoignición, tensión superficial, tensile set, termoendurecibles frente a termopl sticos, termoestable, termoformado al vacío, termopl stico estir,nico elastómeros, termopl sticos vulcanizados, termopl sticos, termo plastico, termoplasticos vs tpes, termosellado, test di robinson, texturizado, tfe, tfe p, tg, tga, thermoplastic polyurethane (tpu), thermoplastic vulcanizates (tpvs), tiempo ciclo de inyección, tiempo de residencia, tier, tinas de pl stico, tipos de procesos, tnr goma natural termoplastico, todt, tornillos autorroscantes, tornillos, tpc et, tpc, tpc es, tpc et propiedades, tpcet, tpc et, tpc et, tpe generacióntpe o, tpe v, tpe, t p e, tpee, tpe e, tpe o, tpes, tpe s, tpe u, tpev, tpe v, tpi, tpo, tpu fundas y protección, tpu, tpv alto termo, tpv generación, tpv nueva generación de polímeros termopl sticos, tpv, tr sbs, tr, transmitancia, trasparentes, tratamiento de llama, tratamiento de plasticos, tratamientos de modificación de superficie, trióxido de antimonio, troubleshooting, tubos corrugados, tubos de freno de vacío, tubos termopl sticos, tvi, uhmwpe, uhmw pe, ul94, ultrasonido, umts, under the hood, unión adhesiva, urea formaldehído, usp, variaciones de brillo, vehículos el,ctricos, ventajas del moldeo por inyección para aplicaciones automotrices, vicat, vidrio molido, vinilo, virus, viscoelasticidad polim,rica, viscosidad absoluta, viscosidad aparente, viscosidad intrínseca, viscosidad relativa, viscosidad, vitrificación, vldpe, vulcanización con óxido de metal, vulcanización con azufre, vulcanización con peróxido, vulcanización con radiación, vulcanización con silanos, vulcanización de caucho, vulcanización de uretano, vulcanización din mica, vulcanización fenólica, vulcanización iónica, vulcanización inducida por luz ultravioleta, vulcanización platinica, vulcanización, vulcanizacion tpv, warpage, water injection assisted, what is tpc et, wheel arch, wollastonite, xdur pbt, xnbr, xsbr, zapato, zapatos de seguridad, zeolitas, ziegler, natta,5g
 

 

Histats.com © 2005-2014 Privacy Policy - Terms Of Use - Check/do opt-out - Powered By Histats
Correo

info@mexpolimeros.com
Teléfono

+52 (562) 37.589.04


Todas las marcas registradas ( ® - © - ™ ) son propiedad de sus respectivos propietarios y se utilizan únicamente con fines de información, de conformidad con las disposiciones vigentes sobre derechos de autor. Las letras son propiedad de sus respectivos autores y les damos las gracias por la oportunidad que nos brindan para conocer sus textos libres para fines ilustrativos y educativos. Si usted es el autor del texto que interesa y solicitar que se elimine el texto o la inclusión de otra información enviar un e-mail info@mexpolimeros.com después de controles apropiados vamos a satisfacer su solicitud tan pronto como sea posible. Los datos e ilustraciones en esta publicación no son vinculantes y pueden ser cambiados como resultado de cambios y / o mejoras que se consideren necesarias por el fabricante. Los resultados anteriormente mencionados cuidadosamente con el objetivo se llevaron a cabo para dar instrucciones al usuario final con respecto al uso de los productos en diversas etapas de su uso. Como hay diferentes condiciones de uso, el almacenamiento y la firma de la preservación mexpolimeros no se hace responsable de los daños causados al cliente y /o tercero.
Todas las marcas registradas ( ® - © - ™ ) son propiedad de sus respectivos propietarios y se utilizan únicamente con fines de información, de conformidad con las disposiciones vigentes sobre derechos de autor. Las letras son propiedad de sus respectivos autores y les damos las gracias por la oportunidad que nos brindan para conocer sus textos libres para fines ilustrativos y educativos. Si usted es el autor del texto que interesa y solicitar que se elimine el texto o la inclusión de otra información enviar un e-mail info@mexpolimeros.com después de controles apropiados vamos a satisfacer su solicitud tan pronto como sea posible. Los datos e ilustraciones en esta publicación no son vinculantes y pueden ser cambiados como resultado de cambios y / o mejoras que se consideren necesarias por el fabricante. Los resultados anteriormente mencionados cuidadosamente con el objetivo se llevaron a cabo para dar instrucciones al usuario final con respecto al uso de los productos en diversas etapas de su uso. Como hay diferentes condiciones de uso, el almacenamiento y la firma de la preservación mexpolimeros no se hace responsable de los daños causados al cliente y /o tercero.
Todas las marcas registradas ( ® - © - ™ ) son propiedad de sus respectivos propietarios y se utilizan únicamente con fines de información, de conformidad con las disposiciones vigentes sobre derechos de autor. Las letras son propiedad de sus respectivos autores y les damos las gracias por la oportunidad que nos brindan para conocer sus textos libres para fines ilustrativos y educativos. Si usted es el autor del texto que interesa y solicitar que se elimine el texto o la inclusión de otra información enviar un e-mail info@mexpolimeros.com después de controles apropiados vamos a satisfacer su solicitud tan pronto como sea posible. Los datos e ilustraciones en esta publicación no son vinculantes y pueden ser cambiados como resultado de cambios y / o mejoras que se consideren necesarias por el fabricante. Los resultados anteriormente mencionados cuidadosamente con el objetivo se llevaron a cabo para dar instrucciones al usuario final con respecto al uso de los productos en diversas etapas de su uso. Como hay diferentes condiciones de uso, el almacenamiento y la firma de la preservación mexpolimeros no se hace responsable de los daños causados al cliente y /o tercero.
,,,ethanol,mulsionner,mulsion,lectrique,lastomère,lastique,lasticit,,jection,jecteur,chantillon,à,ölen,ölbremse,äthanol,zwischen,zweifarbig,zur,zones,zone,zona,yield,work,with,white,well,welding,weld,weight,water,warpage,warm,wall,vuoto,vulkanisiertes,vulkanisierte,vulcanizzato,vulcanized,vulcanis,von,volum,trique,volumique,volumetrische,volumetrica,volumetric,volume,volatili,voie,void,vitesse,vite,vita,viscous,viscosità,viscosity,viscoelasticità,virgin,vinylique,vinylidène,vinylidene,vinyle,vinyl,vinilidene,vinilico,vinile,vie,vide,vicat,vibrazioni,vibrazione,vetro,talco,carbonato,wollastonite,caolino,policarbonato,acrilonitrile butadiene stirene,verniciata,verniciante,verni,vergine,verbrannt,vents,venting,vented,velocità,velocity,vegetale,varnished,variazione,vapore,vapor,vapeur,valvola,valve,vacuum,v,utensili,usin,unter,unten,uno,unlösliches,unitario,unitaire,unit,undercut,under,una,un,umidità,essicatura,deumidificazione,ultrasuoni,ultimate,ugello,type,twotone,tutte,tunnel,tubi,trovaste,trou,trazione,movimento,traverse,travail,trasformazione,trasferimento,transition,transfert,transfer,tramoggia,trafilatura,trafila,sm,tra,tr,torque,torpedo,torch,top,tool,tonnellaggio,tonnage,toggle,break,to,tirata,tirage,tipo,tip,tinto,time,tiebars,tiebarless,tie,rods,tie,bar,ejection,throat,threeplate,thinner,thinwall,thickness,thickener,thermosetting,thermoset,thermoplastischer,thermoplastique,thermoplastic,thermodurcissable,thermocouple,thermische,thermique,thermal,texture,textiles,tessili,terza,terra,termoplastico,termoplastica,termoindurente,termocoppia,termico,termica,terephthalate,tensioni,tensione,tension,tensil,tempo,temperature,temperatura,tecnopolimero,tecnico.,tamis,take off,taglio,tab,s,paration,para,s,gr,gation,synth,tique,synthèse,synthetische,synthetic,svergolamento,surface,sup,rieur,superposition,superficiale,suck,submarine,sub,su,stroke,stresses,stress strain,stress,strength,streak,stratifi,s,stratificanti,strati,strates,strain,stockage,stiffness,sticking,steam,stationary,staticità,statiche,stampo,stampatura,stampato,stampata,stampaggio,staccio,stabilizzante,stabilizer,stabilità,stability,stabili,spurgo,spugnoso,spugna,sprue,spots,spongieux,sponge,spirit,spina,spessore,speed,speck,specifico,spazzola,spazio,spalmatrice,spalmata,spacer,space,sovrastampaggio,sovra,sous,sottosquadro,sottomarina,sotto,sottile,sono,solventi,solvant,soluzione,solution,soluble,solubile,solidificazione,solidificata,solforico,solfati,sm;smorzatore,slug,slate,skin,size,sito,sintetico,sintetica,sink,sieve,sia,shrinkage,shot,short,shoit,shhet,shelf,sheets,shear,sforzo,sformo,sfoghi,sfiati,sf,settore,setola,set,resistenza,invecchiamento,ageing,analisi,e,senza,semicristallino,semicrystalline,segregation,segni,secondo,secco,screw,screpolatura,scorrimento,scolorimento,scelta,scellement,sbiadimento,sandwich,sample,saline,saldatura,s,r,ticulation,r,ticulant,r,sine,r,g,n,r,e,r,glage,rupture,runners,runnerless,runner,rugiada,rubber,rpm,rottura,rotomolding,poltrusione,rotazione,rosin,rod,ritiro,ritardata,ritardanti,risucchio,ristagno,rispetto,riscaldante,riscaldamento,risalita,rinvio,ring,rinforzante,rinfluenzano,rimacinato,rigidità,rigenerata,riferimento,riempitivo,riempimento,richieste,richiede,rib,reversal,return,reticolazione,retard,e,retardants,resinoso,resina,resin bonded,resin,residual,residua,residence,repères,renvoi,renforçante,renforcement,release,relative,relativa,reinforcing,reinforcement,regrind,regenerierte,regenerated,reciprocating,ratio,rate,raschiaolio,rapporto,rapide,ram,rallentata,ralenti,raggrinzimento,raggi,raffreddatore,raffreddamento,racle,raccolta,rabboccatura,questo,qsolo,p,trole,purging,punzonante,punto,punti,puntale,punta,pulv,riser,puller,pudern,pr,formage,protezione,proprietà,processo,processing,pressure,presso,pressione,presse,pressa,press,premiscelati,premiscelate,preghiamo,preforming,preformatura,pozzolanico,pozzolanica,pozzetto,power,powder,povere,pour,poudre,potenza,pot,post ritiro,post moulding,post molding,portata,pond,rale,ponderale,polystyrene,polypropylene,polymère,polymethyl,polymer,polyethylene,polycarbonate,polyamide,poly,methyl,ethylene,polvere,polmonatura,polivinile,polistirolo,polistirene,polishing,polipropilene,polimetilmetacrilato,polimero,polimeri,polietilentereftalato,polietilene,poliammidi,poliammide,poli,metil,point,poe,mah,maleica,plywood,plunger,platens,platen,plateaux,plateau,plate,plastische,plastique,plastificazione,plastificante,plastifiant,plasticizing,plasticizer,plasticating,plastica,plastic,placage,più,piuma,pit,pistone,piston,pin,pigmento,pigment,piastra,piano,piani,ph,nolique,physique,physikalischer,physical,phenolic,phase,pezzo,peso,perte,perno,permittivity,permeabilità,permanenza,permanente,permanent,perdita,percorso,per,pelo,pellicola,pelle,peel,peau;croute,path,passando,passaggio,parting,particolari,parete,par,papier,paper,pad,packing,ph,overmoulding,overmolding,ouverture,ouverte,ottica,ottenuto,osmotiche,orifizio,orifice,orientation,orientamento,organici,orange,or,optische,optique,optical,opening,open,opaque,opaco,omopolimero,oli,oleodinamico,ogni,offene,of,oben,o,nucleazione,nozzle,nostri,normative,non,nitrico,nitrati,nichtelastische,nervatura,nero,nello,necessarie,naturali,natural,n,m,thanol,m,lange,multiples,multiple,multicomponente,multicolore,multicavità,multi gating,multi component,multi colour,multi color,multi cavity,muffa,moving,movable,mousse,moul,mouler,moule,moulding,moulded in,moulded,mould,moulage,motor,monomero,monomer,monocappa,mol,culaire,molto,molti,molecular,molecolare,molding,mold,moisture,modulo,modellabili,mobile,mixed,mit,minerali,mineral,mfr,mfi,allungamento,flessione,metro,metilico,methanol,methacrylate,metering,meteorica,metanolo,metalli,metacrilato,mescolanza,mescola,mento,melting,melt,medie,medicale,mechanical,matière,materozza,materie,materia,shore,durezza,densità,compression,materiale,material,matarozza,masse,maschio,mark,mantenimento,manque,mano,manifold,mancanza,malte,makromolekulare,f,main,magre,maggior,magazzino,macroporosi,macromol,culaire,macromoleculare,macromolecular,machined,machine,macchine,lunghezza,lumière,luce,loss,longueur,locking,localizzato,local,loading,load deflection,load,lin,aire,lino,linguetta,lineare,linear,linea,line,limite,light,life,lichte,les,lente,lengthwise,length,legno,legante,lega,le,lay up,lavoro,lavoazione,laterale,laser,larghezza,largeur,land,lampant,lampade,lamp capping,laminates,laboratori,la,l'applicazione,l'aggiunta,k,rosène,kurz,kunstharzverleimtes,kristallin,knockout,knit,knife,knapp,kerosine,kerosene,kaolin,kalt,kalibermässige,jonc,joints,jig,jauge,jaquette,isotropico,isotropic,inversione,inversion,intrinsic,intrinseca,interne,intalcare,installed,installata,insoluble,insolubile,inserti,inorganici,injection,iniezione,iniettabili,inghisaggio,informazioni,industria,indurimento,indurente,incurvatura,incompleto,incompleta,incollaggio,inching,in,impregnanti,il,igroscopico,idropneumatico,idromeccanica,idrogeno,idrofugate,idrauliche,idraulica,idonei,i,härtbarer,hygroscopic,hydro mechanical,hydraulic,hot setting,hot,hose,hopper,homopolymer,hole,holding,hold,high,height,heating,heater,heat,head,haut,hardness,hand,guaine,belts,automotive,guaina,gruppo,gravit,gravità,gravity,grassi,grasse,granulatore,granulator,gradiente,gomma,goffratura,gocciolamento,goccia,glue,gloss,glass,givrage,giunzione,giuntare,giri/minuto,ginocchiera,gewölbt,geschlossene,gepresster,geformter,gedrängt,gauges,gate,gas,gas assistito,gas assisted,gardner,gamma,fuso,fusione,fuoco,funghi,anti,frozen,frosting,fronte,front,froid,freezing,freddo,freddi,fredda,freccia,frame,fra,forza,forward,forti,formatura,forma,force,forata,for,fontana,fond,foglie,flèche,flusso,flow,flour,flocon,flock,flash,flame,fixture,fixed,fisso,fissaggio,fissa,fisico meccaniche,fisico,fiocchi,finish,filling,fillers,filler,fillpack,fill,filière,filiera,fili,fibres,fibre,fibrate,fiamma,feutre,feuilles,ferro,fermeture,fenolico,fenditura,feltro,felt,feed,fattori,fase,fascia,fading,f;verjüngung,f;charge,extrusion,extendeur,extender,expansion,expanded,excès,ex.,etilico,ethanol,etanolo,et,estrazione,estrattore,estensori,essiccazione,essiccatore,essiccamento,essa,espulsore,espulsione,espanso,espansive,espansa,es.,entr,es,entre,engineering,enduit,en,emulsione,emulsionare,emulsionamento,emulsion,emulsifier,emulsification,emulgieren,empreinte,elongation,elettrostatica,elettriche.eventualmente,elettriche,elettrica,elektrische,electric,elastomero,elastomer,elastische,elasticità,elasticity,elastica,elastic,ejector,eines,einer,einem,eindicken,efflorescenza,efflorescence,edilizia,elettrodomestico,tools,iso6722,r7,r8,r18.e,edile,edge jointing,edge,ed,eccesso,eau,d,t,rioration,d,shydratation,d,pressionen,d,pouille,d,moulage,d,gradation,d,gazage,d,formation,d,composition,d,coloration,duttilità,dur,e,duret,durcissable,durch,durata,ductilit,ductility,du,drying,dryer,dry,drooling,draft;draw,draft,dowel,dovuto,douille,dosaggio,domed,doctor,docteur,di,lectrique,distribuzione,distortion,distanziatore,distance,distacco,distaccante,disque,disposizione,dispositivo,dispositif,dispertion,dispersione,dispersion,disidratazione,discoloration,disco,disc,direzione,diretta,direction,direct,dimère,dimero,dimer,diluente,diluant,dilatazione,dilatation,diffusivit,diffusività,diffusivity,diffusione,diffusion,difetto,dielettrico,dielettrica,dielektrischer,dielectric,die,diaphragme,diaphragm,diagramme,diagramma,diaframma,di,deumidificata,deumidificanti,deteriorazione,deterioration,desiccant,des,der,density,den,dell’impasto,dell’acido,dello,delle,della,dell'ugello,dell'espulsore,dell'ambiente,dell'acqua,del,dei,dehydratation,degradazione,degradation,degradabili,degasaggio,deformazione,deformation,deflection,defect,decompression,decomposizione,decomposition,dead,daylight,dash,damping,dall'alto,dal,da,jection,jecteur,une,un,injection,iniezione,humidit,extrusion,eau,aria,arancio,apporto,apport,alimentazione,alimentation,acqua,cylindre,cylinder,cycle,cushion,cuscino,cuscinetto,curve,curva,cure,culot,culatta,cuisson,cr,sol,crystalline,crosta,crosswise,crosslinking,crosslinking,cristallino,crine,crin,cresolo,cresol,creep,crazing,craze,cratère,cratere,crater,cracking,crack,course,coul,e,couleur,coubre,cottura,cotton,cotto,cotone,coton,costruzioni,costante,costampaggio,cospargere,corsa,corrosione,corrosion,corps,corpo,core,coprente,coppia,copolym,risation,copolym,re,copolymerization,copolymer,copolycondensation,copolimero,copolimerizzazione,copolicondensazione,cooling,contropressione,controllato,contreplaqu,contrainte d,formation,contraibilità,contenimento,contatto,contattare,contact,constant,conservazione,connecting,conicità,conformatrice,conformatore,conformateur,confluenza,conductivit,conductivity,conducibilità,condensazione,condensation,condensa,con,compressione,compound,compoundare,compostabili,compensato,compattamento,compatibilizzante,fibra,compatibilit,compatibilità,compatibility,commutazione,come,column,coltella,colour,colore,colorante,colorant,colophony,colophane,colonne,colonna,colofonia,collier,colletta,colle,collare,collapse,colla,coleur,cold setting,cold,colata,colabili,coiniezione,coestrusione,coated,coagulazione,coagulation,co injection,closing,closed,cloruro,cloruri,cloroprene,cloro acetato,cloridrico,clearance,clay,classe,clamp,circolazione,ciment,cilindro,ciclo,châssis,chlorure,chloroprène,chloroprene,chloride,chlorac,tate,chiusura,chiusa,china,chimique,chimico,chimica,cherosene,chemischer,chemical,che,chaîne,chauffant,chauffage,chaud,chase,chargement,charge,channel,chambre,chamber,chalumeau,chain,centratura,cemento,cement,cellulose,cellulosa,cellule,cellulare,cellular,cellulaire,cellula,cell,cavit,cavità,cavity,cavi,catena,catalyst,catalyseur,catalizzatore,cas,ine,casting,cassa,caseina,casein,casalingo,cartuccia,cartridge,carta,carro,carriage,carotte,carota,carico deformazione,carico,cariche,caricamento,carica,carboxym,thyl,carboxymethyl,carbossimetilcellulosa,capillare,capacit,capacità,capacity,caoutchouc,cannello,canali,canale,canal,campione,camicia,camera,calore,calendering,calender,caldo,caldi,caldana,calda,gesso,calcio,calcestruzzo,calandre,calandratura,calandrage,calandra,but,e,butyrate,butyral,butirrale,bushing,bush,buse,burned,burn,bulle,buccia,bubbler,bubble,brûl,brunitura,bruciatura,bruciato,bristle,brinatura,brillantezza,brillance,breathing,breaker,bozza,bowl,boudineuse,bottom,bottle,bossage,boss,bomb,bombato,bolster,bolla,body,boccola,bocchettone,bocca,bob,blueing,bloom,blocs,blocking,blockcopolymerization,blockcopolymer,block,blocco,bloc,bleuissement,blend,bleibende,blau,blanket,blanc,black,biniezione,bicolore,between,beschichtetes,benzyl,benzine,benzilcellulosa,profili,beim,bearbeiteter,bavure;toile,bava,bastone,bastarde,basso,barrel,barre,barra,bar,band,baguette,bague,baffle,back,bacchetta,a,rohydraulique,avvallamento,avec,automatisches,automatischer,automatique,automatico,automatica,automatic,au,attrito,attrezzati,attraverso,attenuazione,atmosferici,atattico,ataktisch,atactique,atactic,assorbimento,assistito,assistita,ascendente,asbestos,aria,ardoise,ardesia,appui,apprêt,appretto,apparente,apertura,aperta,antistatico,antiritiro,antioxydant,antioxidant,antiossidante,anticarbonatazione,antiadesivo,antistatique,antistatic,antiadh,rent,anistropy,anistropie,anistropia,anisotropico,anisotropic,anima,angolo,angle,anello,and,anchor,anche,analysis,analyse,an,ampoules,amortisseur,amortissement,amorphous,amorphe,amorph;gestaltlos;nicht,amorfo,ammortizzatore,ammortizzamento,ammonio,amminoplasto,aminoplastic,aminoplaste,amianto,amiante,al,sage,alv,ole,alveolo,altri,alto,alpha cellulose,alpha,allungante,alluminoso,alloy,allongement,allo,alla,all'idrolisi,all'abrasione,alimentazione,alimentation,alimentare,alginato,alginate,alfa,alesaggio,alcool,alcohol,al,air hydraulic,air,ai,agli,agg,agente,agent,affaissement,aeree,adjuvant,adh,sivit,adh,sif,adh,rence,adhesiveness,adhesive;glue,adhesive,adesivo,adesività,adesiva,adesione,aderenza,additivo,additivi,additive,addensare,addensante,ad,ac,to butyrate,ac,tate,ac,tal,acrylonitrile butadiene stirene,acqueo,acquaragia,aceto butirrato,acetato,acetate,acetale,acetal,acc,l,rateur,accumulatore,accumulator,accumulateur,accostamento,accelerator,accelerante,absorption,abrasione,abrasion,abrasimetro,copoliestere,copes,compatibilizzanti,gomme,copoliammide,vinylbutyral,vinylalkohol,vinylacetat,vinylacetal,vichy,ventilato,vdo,v/p,uretano,uv,usp,tpa,astm,iec,ul,sae,fda,eec,turapori,trementina,traspirante,transfer,tixotropia,termoigrometro,termocappotto,tempera,tampone,tpc,tg,teee,t4,supporto,sughero,substrato,stucco,streuung,streichmesser,streckmittel,stratificazione,staggiatura,stab,squamatura,spruzzo,spolveratura,spessimetro,sperrholz,spazzolatura,spannungs,solvente,sollevamento,solidi,solfato,smalto,siliconi,silicone,silice,silicati,sigillante,scagliola,sbiancamento,sanguinamento,sali,sale,sabbie,sabbiatura,sabbia,rückdrückstift,rullo,ruggine,rubb out,rivestimento,ritenzione,ripristino,rinzaffo,rigature,richtvorrichtung,rialcalinizzante,retinamento,resine,residuo,resa,repellenza,reoplastica,reologia,reissfestigkeit,reazione,rasatura,rasante,rahmen,querrichtung,querhaupt,puntinatura,promotori,prodotto,primer,pozzolana,potere,pot life,portland,porosità,pore,polimerizzazione,polimerico,platten,plastificanti,plasticità,pittura,pistola,piombo,pigmenti,pigmentato,pietrischi,piana,phenol,ktw,statico,batterico,funghicida,hard,soft,segment,martindale,isolante,intumescenza,intonaco,intonaci,iniettabile,inibitore,ingiallimento,inerti,inerte,impolmonimento,impermeabilizzante,immersione,igroscopicità,ignifugo,idrosabbiatura,idrorepellenza,idropulitura,idropittura,idrofugazione,idrocarburi,iso,härtung,härte,gesso,formazione,folien,floating,finitura,filzscheibe,filmazione,film,fibrorinforzato,fessure,fessurazioni,evaporazione,essiccante,espansivo,epossidica,entlüften,entformungsmittel,emulsionstyp,emulsionsbildung,emulgierarbeit,elastomerica,elastomeri,termoplastici,tpo,tpv,sebs,sbs,tpu,tpee,tpe a,pvc,tpc et,tpe o,tpe s,tps,tpe v,tpe,elastomere,dispersore,dimere,diluenti,costretti,corporatura,copolymerisation,copolymerisat,copolykondensation,copertura,controspinta,consolidante,conglomerato,composti,colpi,colatura,coesione,coefficiente,cocciopesto,coating,cloro,caucciù,chroma,chloropren,chassis,cere,celluloseacetobutyrat,celluloseacetat,cavillature,caucciù,catrame,catalisi,carteggiatura,carbossimethylcellulose,carbonatazione,carbon,capocchie,capillari,buchse,bruch,bremszylinder,borste,bohrung,blockpolymerisat,blockmischpolymerisation,blocken,blase,benzylcellulose,azione,autolivellante,assorbitori,asfalto,asbest,argilla,appretur,applicabilità,appiccicosità,antyoxidans,antivegetativa,antistatikum,antischiuma,antiruggine,antimuffa,antiacido/a,anschnitt,anlaufen,angusszieher,angussverteiler,angussbuchse,anguss,ancoraggio,ammide,aminoplast,alginat,alchidica,airless,airmix,aggregato,agenti,affresco,aerosol,aerografo,acrilico,acetone,2k,estrusione,pom,pe,pipe,oxo,lama,l'allungamento,l'impatto,charpy,izod,bio,alle,ttir,din,dsc,vischiosa,superficie,ali,resistenza,potenziale,abs,acrilonitrilo,butadieno,estireno,cm,cauchos,polietileno,clorado,acm,elastómero,ster,acrílico,cloroetilvini,ter,cmg,carboxi,metilcelulosa,acs,polietilenoclorado,cn,nitrocelulosa,aes,acrílonítnlo,etilpropileno,co,epiclorhidrina,polímeros,amida,imida,cp,propionato,celulosa,amma,metilo,cpe,anm,copolímero,cpvc,policloruro,vinilo,arp,plástico,reforzado,cr,cloropreno,asa,cs,caseína,poliuretano,poli,ster,csm,dorosulfonado,biir,isobutileno,isopropeno,bromado,csr,bk,baquelita,ctfe,políclorotrifluoro,etileno,br,eco,epjclorhidrina,brp,boro,eea,acrilato,etilo,ca,ep,propileno,cab,acetobutirato,epoxi,cap,acetopropionato,epd,terpolímero,dieno,car,carbono,epdm,cel,celuloide,epe,ester,epoxídico,cf,formaldehído,epfv,vidrio,cfm,cloruro,trifluoretileno,epm,cfrp,epr,chr,eps,poliestireno,expandible,acrónimos,ept,terpolimero,polisulfuro,mdpe,media,densidad,etfe,tetrafluoroetileno,mf,melamina,eu,caucho,poli,teres,mfrp,metálica,eva,mpf,metamina,fenol,eval,vinílico,mwrp,whiskers,nbr,fep,hexafluoropropileno,ncr,fpm,fluoruro,vinilideno,y,hexafluoruro,nir,isopreno,fsi,silicona,grupos,fluorados,nr,elastómero,isopreno,gpps,cristal,opp,polipropileno,orientado,tg,opvc,osa,modificado,olefina,grp,pa,poliamida,pa11,polímero,ácido,amino,11,undecanóico,hdpe,alta,pa12,dodecanolactama,hips,impacto,εcaprolactama,iir,pa6/12,6,im,poliisobutileno,pa610,hexametilendiamina,sebácico,ir,sint,tico,pa612,dodecanóico,lcp,liquido,trimetil,tereftálico,lope,baja,adípico,lldpe,lineal,pa66/610,ácidos,mbs,paa,ácido,acrílico,pai,petg,politereftalato,pan,poliacrilonitrilo,pf,papi,polifenil,isocianato,polimetileno,pfep,polifluoroetilenpropileno,parfv,reforzada,pi,poliimida,pb,polibuteno,pib,polibutadieno,pir,isocianurato,pban,pmi,polimetacrilamida,pbi,polibecimidazol,pmma,metacrilato,metilo,pbr,piridina,pmp,metil,4,penteno,1,butileno,óxido,propileno,polioximetileno,poliformaldehído,poliacetal,pctfe,policlorotrifluoroetileno,pdap,ftalato,dialilo,ppc,ppo,óxido,fenileno,pead,ppox,polipropileno,pebd,pprfv,pec,polísulfuro,peek,polieteretercetona,ppso,polifenisulfona,pei,polieterimida,ppsu,fenil,n,sulfon,peo,etileno,prfv,peox,etileno,ps,pep,psgp,pes,ter,pshi,pet,psbr,pse,sl,siliconas,psi,si,psu,polisulfona,sir,pife,politetrafluoroetileno,sma,anhídrido,maleico,pu,sms,pur,sp,saturado,pvac,poliacetato,tfe,politrifluoromocloroefileno,pval,alcohol,vinílico,termoplástico,pvb,butirato,vinilo,tpx,metilpenteno,pvcc,dorado,uf,urea,pvdc,vinilideno,uhmwpe,ultra,pvdf,fluoruro,up,insaturado,plástico,uretano,pvf,vce,pvfm,vinil,formaldehído,vcema,pvk,polivinilcarbazo,vceva,pvp,polivinil,pirrolidona,vcma,rf,resorcina,vcmma,san,vcoa,octilo,sb,vcvac,sbr,vcvdc,vpe,reticulado,scr,fenílicos,vinílicos,sfrp,sint,tica,vsi,r18,abr,acrilicobutadieno, ácidos grasos, índice de refracción, índice tixotrópico, ,ster de celulosa, ópticas, óxido de zinc, 1.2 polibutadieno sindiotattico, sanitary ,standards, 5g, aba, ablación, abrasión del tpu, abrasion, abreviaturas plasticos, abrillantador ópticos, abrillantador de elastomeros, abs sma, abs tpu, abs, absorción de agua en 24 horas (24 h), absorción de agua por saturación, absorción de humedad, absorción de sonido, abs pbt, abs pest, abs pet, abs pvc, acabado del molde, aceite de cardanol, aceite de linaza epoxidado, aceite de ricino, aceite de soja, aceite vegetales, aceite, aceites, aceleradores para cauchos, aceleradores, acetal, aclararante, acm, acms, acondicionadores de aire, acoplamientos de inserción flexible, acoplante, acrónimos, acrilatos, acrilonitrilo butadieno estireno, acrilonitrilo, acs, adhesión a subestarto, adhesión de elastómeros, adhesión mecanica, adhesión, adhesion a los metales, adhesion al corte, adhesion corte, adhesivo, aditivos de curado de peróxido, aditivos, admin adyuvantes, aem, aes, agente antireversión, agente compostable, agente de acoplo, agente espumante, agente pro degradante, agentes antibloqueo, agentes antiempa¤antes, agentes de homogeneización, agentes de pegajosidad, agentes desgasificadores, agentes homogeneizantes, agentes humectantes, agentes matizante, agentes nucleantes, agrietamiento por tensión, agrietamiento, agua, alabeo, alambre, aleación, aletas, alfa olefinas lineales, alloy, almidón, almohadilla, almohadillas, alto grip, amarillamiento, amida en bloque, amida, amorfos, anelasticidad, anhídrido maleico estireno, anillo y bola, anillos rascadores, anisotropía, annealing, anti huella, anti olor, anti scratch, anti squeak, anti uv, antiadherentes, antiaglomerantes, anti bacterial, antibloqueantes, antidegradantes, antideslizante, anti estático permanente, antiestatico, antioxidantes, anti ozonante, anti slip, anti stick, antivaho, antivibración, apantallamiento electromagn,tico, apet, aplicaciónes biopolímeros, aplicaciones industriales, aplicaciones, ara¤azos, aretes de ganado, aretes de ganados, arizona uv, arquitecturas de bloques, arquitecturas de polímeros, as 9100, asa transparente, asa, asa pvc, asesoramiento, asiento de seguridad, asiento retr ctil, asientos de estadio, aspect ratio, aspecto tpe, astm d2000, astm d790 , iso 178, astm, aumentar fluidez sbs, aumentar fluidez sebs, aumentar fluidez seeps, autoignición, automotriz, autooxidación, ayudas de proceso, ball pressure test, bam, banda de tigres, bandas pu para el transporte, baquelita, barrera y permeación, batería, bellows, bentonita, betún modificado, bgvv, bi inyección, biir, bio pa, bio pc, bio pe, bio pet, bio plastificantes, bio pp, bio pta, bio ptt, bio pvc, biodegradabilidad, biomasa, biopolímeros, biosolventes, birrefringencia, blends mezclas, blindaje emi, blog blog, blooming, bloque, bloques, blow molding, bmc, bmi, bolas, bolsa de aire, bolsas de pl stico, bolso, bolsos, bombas de engranajes, boquillas de aire, bota de esquí, botas de granjero, botas de lluvia transparentes, botas de seguridad, botas no pvc, botas, br, bracket, br polibutadieno, bs6920, burbujas, burletes, c,sped artificial, cómo definirías el concepto de polimero, ca, cable segmento t4 150, cable, cables en espiral, cafe, caking, calidad, calorímetro de cono, calzado deportivo, canal de cables, caolín, caprolactama, captcha caravanas, carbon black, carbonato de propileno, carbonatos de calcio, carboxilación, carcasa del filtro, carcasa para palanca de cambios, carga y renfuerzos, cargas, cargas minerales, cart cas number, caseinato, catalizador, caucho de estireno, caucho sintetico, caucho, cauchos de halobutilo, cbt, cenizas, cepillo de dientes, cera de polietileno, cera montanica, ceras, chaleco antibalas, charpy vs izod, charpy, chiller, chopped strands, ciir, cilindros hidr ulicos, cinturón de seguridad, cizallamiento, clasificación de los biopolímeros, clasificación de los elastómeros, clasificación de los electrodom,sticos, clasificación de los polímeros, clasificación de polimeros, clasificacion del butadieno estireno, climatización, cm, co2 equivalente, coc, codigos de reciclaje, coeficiente de expansión lineal, coeficientes de fricción, co extrusión, cof, colada fría, colectores de aspiración, colectores solares, coloración, combustión, compatibilizar, componentes de coches el,ctricos, componentes el,ctricos, componentes sillas, comportamiento a la flama, composites, compostable versus reciclable, compound, compression set, compuestos alta densidad, concentracion y orientacion, condiciones de inyección del pa6, condiciones de inyección del pbt, conductividad t,rmica, congo test, consejos de formulacion, consejos de procesos, constante diel,ctrica, contactos, contrafuerte, conversión entre unidad de misura, conversione impacto, conversione modulus, conversione temperatura, cookies, copes, copolímero de bloque estir,nico, copolímero de bloques, copolímeros acrílicos, copolímeros de acrilo, copolímeros de bloque de estireno, copolímeros de bloque de estireno butadieno, copolímeros de bloque olefínicos, copolímeros de estireno, copolímeros de etileno, copolímeros de etileno alfa olefina, copolímeros de polietileno, copolímeros del estireno, copolímeros, copoli,steres arom ticos alif ticos, copoliamidas semi arom ticas, copolimerización de etileno, copolimero de etileno y acetato de vinilo, copoliŠster transparent, copoliŠster, corcho sintetico, core back, corona vs. plasma, corona, cortafuegos, cortar en cubitos, corte termico, covid 19, cowl grille, cp, cpe, cpk, cr, crazing, cristalinidad, cristalinos o amorfos, cristalización, cross linked density, csm, cti, ctle, cu les son las poliamidas, cu les son los diferentes tipos de tpe, cuarteadura, cubierta de motor, cubiertas de balancines, cumarona, cvj bota, cvj botas, damping, dap, dardo, de mattia flex, decoracion en molde imd, dedos desplumadores, defectos de moldeo, defectos en los polímeros, definiciones que se aplican específicamente a los pl sticos, deformación, degradación mec nica, degradación química, degradación, degradacion termica del poliestireno, degradante para polimeros, delaminación de capas, densidad aparente, densidad compactada, densidad del fundido, densidad reticulacion, densidad, densificador, desactivadores de metales, desarrollo de nuevo polímeros, descarga electrost tica, desgarre, desgarro, desgaste, deslizamiento, desplumadores, deta, devanado de filamentos, devulcanización, dióxido de cloro, dióxido de titanio, die drool, die swell, die swelling, diferencia entre eva y sbs espumado, diferencia entre hdpe y el ldpe, diferencia entre ldpe y el hdpe, diferencia entre pa6 y pa66, diferencia entre sbs y eva espumado, diferencia entre sbs y sbr, diferencia entre sbs y sebs, diferencia entre tpe y epdm, diferencia entre tpv y tpe, diferencia entre tpv y tpo, diferencias entre pa y pi, diferencias entre pa6 y pa6, diferencias entre tpe y pvc, diferencias entre tpe y silicona, diferencias entre tpe y tpu, difrencia entre pvc vs sebs, difrencia entre sbr y sbc, difrencia entre sebs vs. seeps, din, dis, dmso, dmta, dryer, dsc, ductos, dureza, dvgw, e&e, ebs, efecto disco, efecto gough joule, efecto invernadero, efecto jetting, efecto madreperla, elastómero lineal, elastómero radiales, elastómero ramificado, elastómeros estrella, elastómeros biodegradables, elastómeros de aramida, elastómeros de pp etileno, elastómeros termopl…sticos, elastómeros y aceites, elastómeros y gases, elasticidad, elastomero, elastomero lineal, elastomeros, elastomeros de aramida, Elenco.txt elf, emblanquecimiento, emisiones (voc), empaques para puertas de equipos de refrigeración, empaques, encapsulación, encogimiento, encogimientos, endurecedores, enfriamiento vs pared, engranajes, enlace químico, enlaces químicos, ensayo piel de tiburón, ensayo tensión superficial, ensayos de resistencia a líquidos, ensayos mec nicos, entrecruzados, entresuela, envases, envejecimiento acelerado uv, envejecimiento por calor, envejecimiento, ep(d)m, epdm sulfonado, epdm, epp, epr, eps, erosión ao, escotilla de puerta, espejos exteriores, espuma de poliuretano, espumado, espumas, estabilidad dimensional, estabilizadores, estereoisomería, estereolitogr fico, esterilización, estir,nico de alto calor, estirenicos transparentes, estirenicos, estireno acrilonitrilo, estireno butileno estireno, estireno etileno butileno estireno, estireno butileno estireno, estireno etileno butileno estireno, estructura elastómero, estructura polímeros, etfe, etileno vinil acetato, etilvinilacetato, etpv, e tpv, eva foamed, eva, evaluación de la degradación, evaluación sensorial, evoh, extensores de cadena, exterior vehículo, extrusión reactiva, extrusion pvc, extrusion, factores estructurales, falla por fatiga, falta de resistencia, fanales, faro delantero, faro trasero, fase gaseosa, fda, fem, fender, fibra de raquis, fibra larga lftr, fibras de carbono, fibras de vidrio cortas, fibras de vidrio largas, fibras de vidrio, fibras vegetales, files film casting, fkm, flash point, flexómetro, floración, florida uv, fluidez, flujo de los polímeros, fluoración, fluoropolímeros, fmvss 302, fmvss302, foaming agent, fogging test, fogging, folifosfacenos, formulario de contacto, forum, foto oxidación, fotocat lisis bactericida, fotodegradación, fractura de los polímeros, fricción, front end2, ftir, fuelles neum ticos, fuerza de desgarro, fuerza intermolecular, fuerzas intermoleculares, fundición de polímero, fusión, fusion, galvanoplastia, gels, geopolim,ros, glass encapsulation, glosario del pl stico, gloss, gmt, goma de silicona líquida, goma eva, gpc, grado de polimerización (dp), grafeno, grafting, granulación, granuladora de anillo de agua, granuladoras espagueti, granuladoras, granuladores subacu ticos, grieta y fisura, grip, grupo m, grupo o, grupo q, grupo r, grupo u, grupo z, guía de inyección de polipropileno, guantes, guardabarros, gutapercha, gwt, hai, halogenación, hardness, haze, hdl, hdpe, hdt, herramientas manuales, hidrólisis, hidróxidos met licos, hidrogeles, hidrogenación, higroscópico, hilo incandescente, hilo para impresion 3d, hinchazón, hips, hist,resis, historia de los elastómeros, historia de los polimeros, hnbr, home, hopkinson bar, hormas, hot runner, hpa, hule, hules, humedad en la poliamida, humedades, hwi, icp ms, iir, images imd, imemail imiv, imlogin, impacto de gardner, impacto, impresion 3d, improve abrasion tpu, improve hot air and oil swelling resistance in tpv, improve melt flow index, imsearch, imsitemap, incoterms, index, indice de amarillamiento, inhibidores de prevulcanización, inserto met lico, in shell lining process, interior vehículo, inyección multicomponente, inyeccion asistida con gas, inyeccion de proyectiles, inyeccion, ionómeros, ir, iso 1629, iso 9001, iso, iso75, isomería en polímeros, isotropía, izod iso 180 astm d256, izod, jungle test, juntas magn,ticas, kalahari uv, kink, ktw, l tex natural, línea de plata, línea de soldadura, líneas de combustible, líneas de tigre, laboratorio, latex, lavadora carga superior, lavadora, lavadoras, lcp, ldpe, lfi, libreria, lignina, linea de soldadura, litografía, litopón, lldpe, loderas, loi, los compuestos de fibra larga, los elastómeros, los pl sticos para vehículos el,ctricos, los pl sticos, los polimeros difusores, los polimeros, los primeros polimeros, lubricantes, luminiscencia, luz de cortesía, lvavajillas, m,todos para evaluar la degradación, m,xico, mabs, macromol,culas lineales y ramificadas, maleta, mamparas, manguera hidraulica, manguera, mangueras para rodillos, mangueras, maquiladora de bolsos, maquiladora de calzado, marcado laser, marcas de flujo, marcas de quemaduras, marcas de rechupe, masterbatch, master batch, material frío, materiales para suelas, materiales plasticós en el automotriz, materiales plasticos, materias primas de base bio, mb de silicona, mbs, mdpe, mecanismo char, mecanismo de fase gaseosa, mecanismo de goteo, mecanismo de intumescencia, mecanizado de pl stico, medición humedad, medidas de biodegradación, mejoras de formulacion, melt fracture, menu metacrilato butadiene estireno, metalización de pl sticos, metaloceno, metamerismo, meteorización acelerada, meteorización, mex, mexpol, mezclas acrílicas, mezclas con cpe, mezclas, mfi, mfr, mica, microesferas de vidrio, microesferas huecas, micropercusión, migración, mms, modificador de impacto, modificador de reologia, modulo a flexion, modulo de traccion, molde, moldeo de insertos met licos, moldeo por compresión de goma, moldeo por inyección de espuma, moldeo por inyección de pared delgada, moldeo por soplado, moldeo por succión, moldeo por transferencia, moldeo rotacional, moldeo científico, molienda criog,nica, molinos, mooney, morfología de tpe, mpr, muelles neum ticos, mvr, número abbe, naftenicos, nanocarga laminados, nanocelulosa, nanocompuestos, nanofillers laminados carbono, nanotecnología, nanotubos, natura de los biopolímeros, nbr, necking, negro de humo, neum tico, neutralización de olores, nigrosina, nmr, no polares, noise, nomenclatura de polimeros, nonwovens, norme, nsf 51, nsf 61, oem, off spec, oil swelling, oit, olor de los polímeros, orientación, origen de los polímeros, otr, otras, overmolding, oxidación termica, oxo degradable, ozono, p.v., pa 4.i, pa 4t, pa 5t, pa 6 aniónica, pa 6 ramificado, pa 6, pa 6.i, pa 6.t 6.6, pa 6t, pa 9t, pa m5t, pa mxd6, pa, pa1010, pa1012, pa10t, pa11, pa11 10t, pa12 macm, pa12, pa1212, pa12t, pa3, pa4.10, pa4, pa412, pa46, pa48, pa49, pa5, pa56, pa6, pa610, pa612, pa63, pa66, pa68, pa69, pa abs, paas, pa asa, packaging, pae, paes, pai, pam, pan, pantone, pa pp, papxd10, par, para, parachoques, parison sag, parrillas, partitioning agent, pa san, pb 1, pbat, pbe, pbe polimero base etileno, pbi, pbit, pbn, pbs, pbt asa, pbt, pc abs, pc asa, pc, pcd, pcl, pcm, pc pbt, pc pp, pc san, pcss pct, pc tpu, pdms, pea, peba, pe ba, pedal box, peek, peeling, pegamentos, pegar el pl stico, pei, película, películas sopladas, pen, pentóxido de antimonio, pep, peptizantes, peque¤a llama, peque¤os electrodom,sticos, perfil dados, perfil de tornillos, permeabilidad, pes, peso especifico, peso molecular vs, pet g, pet pe, pet, pex, pga, ph, pha, phvb, pib, piel de naranja, piel de tiburón, piezas incompletas, piezoelectricidad, pigmentos, pintado de pl stico, pinturas, pirólisis, piritiona de zinc, pit, plástico que se calienta en el microondas, plástico, plásticos commodities, plásticos detectables rayos x, plásticos reciclados, plásticos, pla, placa caliente, plantilla, plasma, plasticos de ingenieria mexico, plasticos resistentes a radiacion uv, plastificante, pmbl, pmi, pmma abs, pmma, pmp, pmvk, pnr, poe, poisson's ratio, polímeros conductores el,ctricos, polímeros de base biológica, polímeros difusores, polímeros electroactivos, polímeros expandido, polímeros funcionales, polímeros inorg nicos, polímeros org nicos, polímeros super absorbentes, polímeros, polimeros, polares, polaridad, poli (p xilileno) ppx, poliímida, poli,ster insaturado, poli,steres arom ticos, poli,steres alif ticos, poli,steres, poli,ter amida en bloque, poli,teres arom ticos, poliamida amorfa, poliamida termofija, poliamidas alifaticas, poliamidas arom ticas, poliamidas semi aromaticas, poliamidas, polibutadieno sindiotattico, polibutadieno, policarbodiimida, policarbonato, policarbonatos, policetonas arom ticos, policetonas alif ticas, policloruro de vinilo, polidimetilsiloxano, polielectrolito, poliepiclorhidrina, poliestannanos, poliestireno, poliestirenos, polietileno clorado, polietileno de alta densidad, polietileno de baja densidad, polietileno, polietilenoctene, polietilenos modificados, polietilenos, polifosfacenos, poligermanos, polimerización, polimeros conductores, poliolefinas, polioles de aceites vegetales, polirreacción, poliŠster, poliŠtere alif ticos, poliŠteres alif ticos, poliŠteres, polisulfonas, poliuretano a base de policarbonato, poliuretano en zapatos, poliuretano espumado, poliuretano termopl stico, poliuretano, poliuretanos, polypedia, pom, porta fusibles, portafusibles, portal mparas, portavasos, poss, post polimerización, power tools, pp fv, pp cargado, pp con carga, pp con fibra, pp e ppk, pp epdm vulcanizado, pp gf, pp, ppa, ppap, p pap, ppdo, ppe, ppo pa, ppo pp, ppo ps, pp poe vulcanizado, pp poe curado, pps, ppsu, ppx, presión volumen temperatura, probetas iso 527, proceso de vulcanización, proceso en fase slurry, proceso en solución, procesos esteticos, propiedades ópticas, propiedades acústicas, propiedades de los polímeros, propiedades de superficie, propiedades eléctricas, propiedades físicas, propiedades químicas, proposición de ley, protección de peatones, prube de intemperismo, prueba de agrietamiento, prueba de beilstein, prueba de fluencia lenta, prueba de flujo en espiral, prueba de lapiz, prueba de llama, pruebas de vibración, pruebas termicas, ps, psr, psu, ptfe, ptt, pu, puertas de inyección, pultrusion, punteras, purgas, procedimiento, pvc, pvc c, pvc pmma, pvc tpu, pvdc, pvdf, pvk, pvoh, pvt, qu, elastómero ofrece la mejor resistencia a la abrasión, qu, elastómero ofrece la mejor resistencia a la flexión, qu, elastómero ofrece la mejor resistencia a la intemperie, qu, elastómero ofrece la mejor resistencia al aceite y al combustible, compression set, es el material tpu, qu, es el moldeo cientifico, qu, es el poli,ster, qu, es la hist,resis, qu, es un elastomero termoplastico, qu, son los monómeros, qu, son los pl sticos biodegradable, qu, son los pl sticos biodegradables, qu, son los pl sticos, qu, son los polímeros y cómo se clasifican, qu, son los polímeros, qu, son los termopl sticos, qu, tipo de material es tpe, que es el tpe, quitosano, r fagas, radiación electromagn,tica, radiación ionizante, radiopaco, rafia, rail pad, ral, raporto l/d, rastrillo de afeitar, rayados, rebabas, reciclaje, reciclar el pl stico, recocido, recubrimientos ruedas, reemplazando a los metales, reemplazo de metales, reflejo de sonido, reforzado con fibra de vidrio, refrigeradores, regulaciones nacionales y de la ue, regulaciones y la legislación automóviles, relación l d, relacion de aspecto l d, relajación de estr,s, res resbalo, resiliencia, resina epoxica, resinas arom ticas y alif ticas c5 y c9, resinas de amina, resinas de hidrocarburo, resinas de poli,ster, resinas fenólicas, resinas novolak, resinas sbc en selladores, resinas, resistencia a la abrasión, resistencia a la flexión, resistencia a la punción, resistencia al aceite y al calor tpe, resistencia al arco, resistencia al desgaste, resistencia al fundido, resistencia al impacto de caída de peso, resistencia al ozono, resistencia de rebote, resistencia quimica, resistentes a radiacion, resistividad de volumen, resistividad superficial, resonador de conducto turbo, retardante de flama, retardante de llama eps, retardante de llama eps y xps, retardantes, reticulación de biopolímeros, reticulación, revestimiento de resina, revestimiento por extrusión, rigidez diel,ctrica, rim, rines de plastico, robots.txt roscas, rosin resina, r rim, rtm, ruido de los automóviles, sílice pirog,nica, sílice precipitada, sílice, súperpolímeros, sales de plata, sams, saturación, saturados e insaturados, sbbs, sbbs, sbc rígido, sbc, sbr caucho, sbr, sbs estireno butileno estireno, sbs, sb s, sbs, scratch, sebs alta resistencia termica, sebs alto brillo, sebs alto termo, sebs ers, sebs m,dico, sebs overmolding, 2k, sebs tpu, sebs transparente, sebs, seb s, s e b s, sebs, sebs ers, sebs transparente, secado, secadora, seeps, se ep s, s eep s, seeps, segmentos automotriz, semi cristalinos, seps, serigrafía, servicios inyección, shear rate, shear, shelf life, shrinkage, shrinkages, shroud, sibs, s i b s, sibs, silanos, silicona, sillas de jardin, sillas operativas, sillas sala de espera, sillas, sinterización, sinterizado l ser, sis, sis162602, sis, sistema de asientos, sitemap.xml slush molding, sma, smanh, smc, smma, sms, sobremolde, sociedad, soldadura de gas caliente, soldadura de p,ndulo, soldadura l ser, soldadura por aire caliente, soldadura por fricción (rotacional), soldadura por inducción, soldadura por infrarojos, soldadura por microonda, soldadura por vibración, soldadura ultrasónica, soldadura, soldadura por alta frecuencia, solubilidad polímeros, soplado, soporte bateria, soporte palanca de cambios, spheripol process, s rim, srp, staining, steering boots, stress cracking resistance, stress relaxation, stress relaxations, stress strain, style styrenic block copolymers tps, sublimación 3d, suela goma natural, suela tpr, suelas espumadas, suelas tpu mas ligero, suela tr, suitecase, sujetadores, sulfato de bario, sulfonación, surfactantes, swelling, tabla polímeros transparentes, tablero de instrumentos, tablero, tackifer, tacon, tacticidad, talón de gel, talco, tama¤o de partícula, tampilla de combustible, tampografía, taninos, tanque de expansion, tanques de combustible, tanques de gasolina, tapetes, tasa de transmisión de vapor mvtr, tear strength, tecnopolímeros, teee, telerruptor, temperatura de fragilidad, temperatura m xima de servicio, temperatura mínima de servicio, temperaturas de autoignición, tensión superficial, tensile set, termoendurecibles frente a termopl sticos, termoestable, termoformado al vacío, termopl stico estir,nico elastómeros, termopl sticos vulcanizados, termopl sticos, termo plastico, termoplasticos vs tpes, termosellado, test di robinson, texturizado, tfe, tfe p, tg, tga, thermoplastic polyurethane (tpu), thermoplastic vulcanizates (tpvs), tiempo ciclo de inyección, tiempo de residencia, tier, tinas de pl stico, tipos de procesos, tnr goma natural termoplastico, todt, tornillos autorroscantes, tornillos, tpc et, tpc, tpc es, tpc et propiedades, tpcet, tpc et, tpc et, tpe generacióntpe o, tpe v, tpe, t p e, tpee, tpe e, tpe o, tpes, tpe s, tpe u, tpev, tpe v, tpi, tpo, tpu fundas y protección, tpu, tpv alto termo, tpv generación, tpv nueva generación de polímeros termopl sticos, tpv, tr sbs, tr, transmitancia, trasparentes, tratamiento de llama, tratamiento de plasticos, tratamientos de modificación de superficie, trióxido de antimonio, troubleshooting, tubos corrugados, tubos de freno de vacío, tubos termopl sticos, tvi, uhmwpe, uhmw pe, ul94, ultrasonido, umts, under the hood, unión adhesiva, urea formaldehído, usp, variaciones de brillo, vehículos el,ctricos, ventajas del moldeo por inyección para aplicaciones automotrices, vicat, vidrio molido, vinilo, virus, viscoelasticidad polim,rica, viscosidad absoluta, viscosidad aparente, viscosidad intrínseca, viscosidad relativa, viscosidad, vitrificación, vldpe, vulcanización con óxido de metal, vulcanización con azufre, vulcanización con peróxido, vulcanización con radiación, vulcanización con silanos, vulcanización de caucho, vulcanización de uretano, vulcanización din mica, vulcanización fenólica, vulcanización iónica, vulcanización inducida por luz ultravioleta, vulcanización platinica, vulcanización, vulcanizacion tpv, warpage, water injection assisted, what is tpc et, wheel arch, wollastonite, xdur pbt, xnbr, xsbr, zapato, zapatos de seguridad, zeolitas, ziegler, natta,5g,1.2 polibutadieno sindiotattico, 1010, 1076, 168, 5g, abaca, ablacion, abrasion, abrasion,-resistencia, abrillantador-de-elastomero, abrillantador-optico, abs sma, abs tpu, absorbedores-de-uv-organicos, absorcion de humedad, absorcion-de-sonido, abs-pbt, abs-pest, abs-pet, abs-psu, abs-ptt, abs-pvc, abs-reciclados, acabado abrasivo acabado del mold aceite, aceite de cardanol, aceite de linaza epoxidado, aceite de ricino, aceite de soja, aceite vegetales, aceite-de-proceso, aceites-de-proceso, aceleradores, aceleradores-para-cauchos, acetilacio acido hialuronico, acido-salicilico, acidos-grasos, aclararante, acondicionadores de aire, acoplamientos de insercion flexible, acoplante-para-mezcla, acrilonitrilo, acrilonitrilo butadieno estireno, acronimos, activadores, ad, adhesion, adhesion adhesion a subestarto, adhesion al corte adhesion de elastomeros adhesion mecanica adhesiones adhesivo, adhesivos aditivos, aditivos para el reciclaje aditivos-bromados, aditivos-de-fosforo, aditivos-endotermicos, adyuvantes, aem, agente compostable, agente pro-degradante, agente-antireversion, agente-de-acoplo, agente-espumante, agente-pro-degradante, agentes antibloque, agentes de adherencia, agentes de dispersion, agentes de expansion, agentes de pegajosidad, agentes homogeneizantes, agentes-antiempanantes, agentes-as-permanentes, agentes-de-homogeneizacion, agentes-desgasificadores, agentes-homogeneizantes, agentes-humectantes, agentes-matizante, agentes-nucleantes, agrietamiento, agu, agu, alabeo alambre, aleacion, aletas, algodon, aliphati, alloy, almacenamiento almidon, almohadilla, almohadillas, alto grip, amarillamiento, amex md1024, amida, amida en bloque, amorficidad, anelasticidad, anillos rascadores, anisotropia, annealing anneling anti scratc, anti squeak, antiadherentes, anti-aglomerantes, antiapelmazante, anti-bloqueantes, antidegradantes, antideslizantes, antiestatico, antiestaticos-migratorios, antihuella, antiolores, antioxidantes, antiozonante, antirayado, antiresbalo, antistick, anti-uv, antivaho, antivibracion, antivibrantes, apantallamiento electromagnetico, aplicaciones, aplicaciones biopolimeros, aplicaciones elastomeros termoplasticos, aplicaciones industriales, aplicaciones medicas, aplicaciones-de-mezcla, aplicaciones-de-mezcla, aramidas, aretes de ganado, ariete arizona uv, arquitecturas de bloques, arquitecturas-de-polimeros, arquitectura-y-morfologia, asa transparente, asa-pc, asa-pvc, asesoramiento, asfaltos-modificados-sbs, asiento de seguridad, asiento retractil, asientos de estadio, asientos-y-partes-asociadas, aspecto tpe, aspect-ratio, astm d2000, ath, aumentar fluidez sb, aumentar-fluidez-seb, aumentar-fluidez-seep, automotriz, autooxidacion, ayudas-de-proceso azodicarbonamida banda de tigres, banda-elastica-cubrejuntas, bandas tpu para el transporte, baquelita, barrera-y-permeacion, barrera-y-permeacion-1, bateria, bellows, bentonita, betun modificado, betun-modificado-eva, betun-modificado-sbs, bi inyeccion biir, bimsm, bio, bio pa, bio pc, bio pe, bio pet, bio plastificantes, bio pp, bio pta, bio ptt, bio pvc, biocidas biodegradabilidad, biofibras, biomasa, biopol¡meros, biopolimeros, biopolimeros-comericales, biosolventes, blanqueadores opticos blindaje-emi blooming, blooming, bloque, bloques, bloques terminales, blow molding bmc bobinas, bolas, bolas de navidad, bolsa de aire, bolsa-de-aire, bolsas de plastico, bolsos, bolsos plasticos, bombas de engranajes boquillas de aire, bosinas, bota de esqui, botas, botas de granjero, botas de lluvia transparentes, botas de seguridad, botas no pvc, br, bracket, breaker br-polibutadieno, bultos burbujas burletes, buscar por categoria, busqueda-aplicaciones, busqueda-por-imagen, butilenos, ca, ca, ca, ca, ca cab, cable, cable segmento t4-150°C, cables, cables automotriz, cables en espiral, cables-xlpe, caja de gafas, caja-de-distribucion, caking, calor-especifico, calzado cosido billy, calzado deportivo, calzado inyectado, calzado pegado, calzado vulanizado, calzado-cosido-ciego, calzado-cosido-goodyear, calzado-kiowa, cambiadores de pantalla canal de cables, canal-de-cables---copia, canalette-alberca, canamo, caolin, cap, capacitor, caprolactama, caravanas, carbonato de propileno, carbonatos de calcio, carbon-black carboxilacio carcasa del filtro, carcasa para palanca de cambios, carga y renfuerzos, carga-automatizada cargas, cargas-minerales, carragenina, carrete-para-cable, carteres de aceite, carts, carts, cascos, cascos de seguridad, caseinato, casting casting of nylon catalizadores caucho, caucho de estireno, caucho de poliisobutileno y butilo, caucho sintetico, cauchos de halobutilo, caudalimetros, cds--dioxido-de-cloro- celulas-solares, cepillo de dientes, cera de polietileno cera-de-polietileno cera-montanica ceras-para-caucho cesped artificial, chaleco antibalas, chdm, chiller chopped strands, cierre centralizado, ciir, cilindros hidraulicos, cinturon de seguridad, cizallamiento, clasificacion de los biopol¡meros, clasificacion de los elastomeros, clasificacion de los electrodomesticos, clasificacion de los polimeros, clasificacion de polimeros, clasificacion del butadieno estireno, clasificacion-plasticos, climatizacion, clorometilacion cloroparafinas cm, co2 equivalente, codigos de reciclaje, codigos-de-reciclados coefic.-de-expansion-lineal, coeficiente-de-friccion, co-extrusion colada fr¡ colectores de aspiracion, colectores solares, coloracion commodities, como definirias el concepto de polimero, compatibilizantes componentes de coches electricos, componentes electricos, componentes-sillas, compostable versus reciclable, compound, compound compound-de-pbt, compound-poliamida, compound-polipropilene, compounds, compuesto-estructural, compuestos de plastico-madera, compuestos-alta-densidad, compuestos-de-alta-densidad, comunicaciones, concentracion-y-orientacion, concha, condiciones de inyeccion del pa6 condiciones de inyeccion del pbt conductividad-termica, conectores, consejos-de-formulacion, consejos-de-procesos, construccion, contactos, contactos, contactos contrafuerte, cookies, cookies copes, copoliesteres aromaticos-alifaticos, copolimerizacion copolimero de bloque estirenico, copolimero de bloques, copolimero de etileno y acetato de vinilo, copolimeros, copolimeros cloruro de vinil, copolimeros acrilicos, copolimeros de bloque olefinicos, corcho sintetico, core back corona corona vs. plasma, cortafuegos, cortar en cubitos corte termico, cover-movil, covid 19, cowl grille, cr, crampones-elasticos, crazing, creep failure, cristalinidad, cristalinidades, cristalinos o amorfos, cristalizacion, cuales son las poliamidas, cuales son los diferentes tipos de tpe, cuarteadura cubierta de la rueda, cubierta de motor, cubierta-del-motor, cubiertas de balancines, cubiertas de pilares a y b, cubre carter, cubre polvos, cubrecantos, cuidado de botas, cvj boots, damping, decoracion en molde dedos desplumadores, defectos de inyeccion defectos de los elastomeros, defectos en los polimeros, definicion de elastomero termoplastico, deformacion, degradacion, degradacion de la mezclas, degradacion mecanica, degradacion olefinas, degradacion ps, degradacion pvc, degradacion quimica, degradacion termica de los acrilicos, degradacion termica del poliestiren, degradacion-por-radiacion, degradante-para-polimeros delaminacion de capas densidad-de-reticulacion, densificador deposicion de vapor quimic desactivadores-de-metales descarga electrostatica, descomponedores de hidroperoxidos desgaste, deshidrocloracio deslizamiento, desplumadores, devanado-de-filamentos devulcanizacion dextranos, die drool, die swell, die swelling dieno, die-swell, diferencia entre eva y sbs espumado, diferencia entre hdpe y el ldpe, diferencia entre ldpe y el hdpe, diferencia entre sbs y eva espumado, diferencia entre sbs y sbr, diferencia entre sbs y sebs, diferencia entre tpe y epdm, diferencia entre tpv y tpe, diferencia entre tpv y tpo, diferencias entre tpe y pvc, diferencias entre tpe y silicona, diferencias entre tpe y tpu, difrencia entre pvc vs sebs, difrencia entre sbr y sbc, difrencia entre sebs vs. seeps, difusor de aire trasero, dimension, dioxido de cloro dioxido de titanio, dis, dmso dmso--dimetilsulfoxido- dopo dosificadores dryer, dryin, ductos, e&e, economia-circular, efecto disco efecto jetting efecto madreperla, efecto-invernadero, efectos de cristalizacion, efectos de relleno, efectos plastificantes, efectos-de-los-corrosivos, efectos-de-los-materiales elasticidad, elastomero, elastomero radiales, elastomero ramificado, elastomero-lineal, elastomeros, elastomeros estrella, elastomeros acrilicos, elastomeros biodegradables, elastomeros y aceite, elastomeros y gase, elastomeros-de-aramida, eleccion de plasticos, eleccion del agente antiestatico electronica, electrovalvulas, el-estado-amorfo, el-estado-de-la-cristalinidad, emblanquecimiento empanamiento, empaque empaques, empaques para puertas de equipos de refrigeracion, empresa, encapsulacion, enchufes-de-carga, encogimiento, endurecedores, endurecedores enfriamiento vs pared engranaje, engranajes, enlace quimico, enlace-quimico, enlaces-quimicos, entrecruzados, entresuela, envases, ep(d)m, epdm, epdm sulfonado, epe espumado- de polietileno epp polipropileno expandido eps poliestireno expandido escotilla de puerta, espejos exteriores, espuma, espuma quimica espumado estabilidad dimensional estabilizadores estabilizadores-de-calor estado-vitreo, ester de celulosa, estereoisomeria, estereoisomeria, estereolitografico esterificacio esterilizacion estireno butileno estireno, estireno etileno butileno estireno, estrella-y-hiperramificadaos, estrias, estructura elastomero, estructura polimeros, etano, eterificacio etileno, etileno vinil acetato, etileno-bis-estearamida-ebs etilvinilacetato, etpv, ev - baterias, eva, eva espumado eva foamed, evaluacion de la degradacion, eva-near-prime, eva-off-grade, exposicion al ozono, extensores-de-cadena exterior vehiculo, extrusion extrusion pvc, extrusion reactiva extrusoras, extrusoras de un solo tornillo extrusoras-doble-tornillo factores estructurales, falta de resistencia fanales, faro delantero, faro trasero, fase gaseos favico, favico, favico, favico fechas tecnicas tpu, fem, fender, fibra de coco, fibra de raquis, fibra larga lftr, fibras de carbono, fibras de vidrio, fibras de vidrio cortas, fibras de vidrio largas, fibras vegetales, fibras-de-estopa, fibras-de-vidrio, fil, film casting filtro aceite, filtros y mesh fle, flexibilidad de las cadenas, flocado-de-perfiles flocking floracion, floracion, florida uv, fluoracion foaming-agent foaming-agent-2 forma del granulo formacion de espuma formulario de contacto, formulario de contacto formulario-de-contacto, forum, forum foto oxidacion, fotocatalisis bactericida fotocatalisis-bactericida fotoconductores y fotonicos, fotodegradacion, fractura, fractura de los polimeros, friccion, friccion y desgaste, front end2, fuelles neumaticos, fuelles-neumaticos, fuentes de residuos fuerzas-intermoleculares, fundass, fundicion de pol¡mero fungicidas fusion,-punto-de, futuro de los plasticos en automotriz, ga, ga ga galvanoplastia galvanoplastias gama-de-producto, gama-de-producto-eva, gasplating geles geles-sebs, gels, geopolimeros, glass encapsulation, glosari, glosario del plastico, glucogeno, gmt goma eva, goma pvc, goma-eva, grado-de-polimerizacion, grados poliuretano tpu, grafeno grafting grafting-de-olefina granulacion granuladora de anillo de agua granuladoras granuladoras espagueti granuladores subacuaticos grieta y fisura grip, grupo m, grupo o, grupo q, grupo r, grupo u, grupo z, gu¡a de inyeccion de polipropileno guantes, guardabarros, gutapercha, halogenacio halogenados halogens-free hals har, hardness, hbscs, hdpe-reciclados, hdt, hemocompatibilidad, herraduras, herramientas manuales, hidraulicos, hidrocarbonos aromaticos, hidrocarburos-olefinicos, hidrogeles, hidrogenacio hidrolisis, hidroxidos-metalicos hierba-de-esparto, higroscopico, hilo para impresion 3d, hilo-diamantado, hinchamiento de elastomeros, hinchazon, hinchazon, hi-ps, histeresis, historia de los elastomeros, historia-de-los-polimeros, hnbr, home, home, home homopolimeros, horma de aluminio, horma de madera, horma de plastico, horma para vulcanizado, hormas, hot runner hot-melt, hpa, hule, hules, humedad en la poliamida, humedades, i, i i icm ignicion, iir, iluminacion interior, im, im im imd imiv imlogi, imlogi imlogi impresion 3d impresion-flexografica improve melt flow inde, imsearc, imsearc imsearc incoterms, incoterms, incoterms index, index, index inflamabilidad, inhibidores-de-prevulcanizacion ins inserto metalico interior vehiculo, interruptores, introduccion a los polimeros, inyeccion inyeccion asistida con gas inyeccion de proyectiles inyeccion multicomponente inyeccion-diretta-al-corte ionomeros, ir, is tpu , is tpu fle, is tpu pl, is tpu r, iso 1629, isotropia, jardin, jaulas, juntas magneticas, kalahari uv, kenaf, kink, l¡nea de plata l¡neas de tigre laboratorio, latex, lavadora, lavadora carga superior, lavadoras, ldpe reciclados, lds lfi libre-de-haluros, lignina limpiaparabrisas, linea de soldadura, linea de soldadura lineas de combustible, lino, litograf¡a litopon llaves-carro, loderas, los compuestos de fibra larga, los elastomeros, los plasticos, los plasticos para vehiculos electricos, los polimeros, los polimeros difusores, los primeros polimero, lubricantes luminiscencia- luz de cortesia, lvavajillas, m‚xico macromolecula, maleta, mamparas, manguera, manguera hidraulica, mangueras, mangueras-, mangueras automotrices, mangueras para rodillos, manija-de-la-puerta, manija-de-la-puerta-interna, maquiladora de bolsos, maquiladora de calzado, maquiladora-cazel, maquiladora-de-botas, marcado-laser marcas de flujo marcas de quemaduras marcas de rechupe master-batch materia, material fr¡o material tpu , materiales dentales, materiales para suelas, materiales plasticos, materiales plasticos en el automotriz, materiales-para-suelas, materias primas, materias primas de base bio, matriz mb-de-silicona-pdms mdh mecanismo-char mecanismo-de-fase-gaseosa mecanismo-de-goteo mecanismo-de-intumescencia mecanizado de plastico medidas de biodegradacion, mejoradores de superficies mejora-la-fatiga-por-flexio mejorar la abrasion del tpu mejoras-de-formulacion, melt fracture metatesis metales en automotriz, metalizacion de plastico metaloceno metamerismo, metano, meteorizacion, metodos de prueba metodos para evaluar la degradacion, metodos-de-prueba mexdur-pbt, mexico, mexico, mexmid 6, mexprene pp-gf, mexprene-pp-mf, mezcla de pom, mezcla de sma, mezclador banbury mezclar la resina asa, mezclas, mezclas acrilicas, mezclas con cp, mezclas con pen, mezclas de alta temperatura, mezclas de base biologica y biodegradables, mezclas de polietileno, mezclas de poliolefina, mezclas de ppo, mezclas de sebs, mezclas de sebs-ppo, mezclas pa 4.6, mezclas polimericas transparentes, mezclas transparentes de tpe, mezclas-de-abs, mezclas-de-copolimeros-de-estireno, mezclas-de-pc, mezclas-de-pcv, mezclas-de-pest, mezclas-de-pet, mezclas-de-plastico-y-caucho, mezclas-de-poliamidas, mezclas-de-poliestireno, mezclas-de-polimeros-amorfos, mezclas-de-polipropileno, mezclas-de-polipropileno2, mezclas-de-pom, mezclas-de-ppe, mezclas-de-sebs-pa, mezclas-de-tpu, mica, microesferas de vidrio, microesferas huecas, microesferas-expandibles micropercusion migracion, mms, modificacion quimic modificacion-superficia modificador-de-impacto modificador-de-reologia molde moldeo de insertos metilicos moldeo por compresion de gom moldeo por inyeccion moldeo por inyeccion de espuma moldeo por inyeccion de pared delgada moldeo por soplad moldeo por succion moldeo por transferencia moldeo rotacional moldeo-cient¡fico moldeo-cientifico, moldeo-cientifico moleculas-individuales, molienda criog‚nica molinos monomeros, morfologia de tpe, mpr, muebles, muelles neumaticos, nailon, nanocarga laminados, nanocelulosa, nanofillers laminados carbono, nanotecnologia, nanotubos, natura de los biopol¡meros, nbr, neck-in, necking, negro de humo, neumatico, neutralizacion de olores, nigrosina noise, noise, normas-embalaje, novalk-resin novel-mextron nr clorado, nr hidrogenado, nuevos-aditivos nylon, obsh octabin oem, off spe, oil swelling, oil-swelling, ojos de pez, olefinas-terminales-en-am olor, olor de los plasticos, olor-de-los-polimeros, olores, organometalico orientacion, orientacion en la mezclas, origen de los polimeros, otras polimerizacio oxidacion termica, oxido-de-zinc, oxo-degradable, oxo-degradable-1 ozono, ozono, p, pa, pa6 fibra vidrio, pa66, pa66-ignifugas, pa66-visc.-2.7-virgen, pa6-ignifugas, pa6-visc.-2.7-virgen, pa-abs, pa-acm, pa-alto-impacto, pa-asa, packaging, pae, palancas-volante, panales, paneles de puerta, pa-polimero, pa-pp, parachoques, parachoques-reciclados parison sag, parrillas, partes tecnicas de la horma, partitioning-agent pa-san, pa-vs.-pest, pa-vs.-pp, pbat, pbe, pbs, pbt asa, pbt-gf, pc, pc abs, pc asa, pc-abs electrochapado, pc-abs-reciclados, pc-aes, pcd, pcl, pcm pc-pbt, pc-pet, pc-pp, pc-ps, pc-san, pc-tpu, pdms pea, peba, pedal box, pegamentos pegamentos pegar el plastico pel¡culas sopladas peletizadoras, pelicul, pelicula, pelo de cerdo, pentoxido-de-antimonio pe-pa, pe-pen, pepq pe-ps, peptizantes pequenos electrodomesticos, perfil dados perfil de tornillos performance blends, permeabilidad, peso-molec.-vs-densidad, pet pe, pet-pen, pga, pha, phvb, pib, piel de naranja piel de tiburon, piezas incompletas piezoelectricidad, pigmentos pigmentos-de-efecto pigmentos-inorganicos pigmentos-metalicos pigmentos-organicos pintura plastica pinturas y plasticos, piritiona-de-zinc pirolisis pistola de gasolina, plasticos reciclados, pla, placa caliente plantilla, plantillas-anti-shock, plantillas-eva, plantillas-pu, plasma plastico, plastico que se calienta en el microondas, plastico reciclado post-industrial, plastico-reciclados plasticos cargados, plasticos commodities, plasticos de ingenieria mexico, plasticos de ingenieria mexico, plasticos de ingenieria mexico plasticos detectables rayos x, plasticos en iluminacion, plasticos-reforzados, plasticos-resistentes-a-radiacion-uv, plasticos-vs.-metales, plastificantes pmbl, pmma abs, pmma-ema, pmma-pc, pmma-peo, pmma-pvdf, poisson-s-ratio, pol¡meros de base biologica, pol¡meros naturales, pol¡meros y antioxidantes polimeros, polaridad, polaridad, poleas, poli(a-aminoacidos), poliamida, poliamida 6 vs. poliamida 66, poliamida-6-gf-fibra-vidrio, poliamida-recicladas, polianh¡dridos, policarbodiimida policarbofosfacenos, policarbonatos, policloruro de vinilo, polidimetilsiloxano polielectrolito, poliestannanos, poliester, poliesteres alifaticos, poliesteres de acido malico, polieter amida en bloque, polieteres, polieteres alifaticos, polietileno, polietileno de alta densidad, polietileno de baja densidad, polifosfaceno, polifosfacenos, polifosfacenos, poligermanos, polimerizacion polimerizacion con apertura de anill polimerizacion de transferencia de grup polimerizacion-al-plasm polimerizacion-en-emulsion polimerizacion-en-masa polimerizacion-en-suspension polimerizaciones en fase cr¡tic polimerizacion-plasma polimerizacion-slurr polimero fotorrefractivo, polimero-conductore-termico, polimero-memoria-de-forma, polimeros, polimeros conductores, polimeros conductores electricos, polimeros desndronizados, polimeros electroactivos, polimeros especiales, polimeros expandido polimeros funcionales, polimeros inorganicos, polimeros organicos, polimeros reciclados, polimeros semicristalinos, polimeros sinteticos, polimeros-alimenticios, polimeros-aplicaciones, polimeros-caracteristicas, polimeros-de-ion-hibrid polimeros-difusores polimeros-flexibles, polimeros-no-polares, polimeros-polares, poliolefina-clorad polioles de aceites vegetales, poliortoesteres, polioxotiacenos, polirreaccion polisacaridos, polisiloxano, poliuretano, poliuretano, poliuretano en zapatos, poliuretano espumado, poliuretano termoplastico, poliuretanos, polypedia, por que plastico, portafusibles, portalimparas, portavasos, poss post-polimerizacio power tools, pp copolimeros reciclados, pp epdm vulcanizado, pp woven non woven, pp-10-talco-negro-peletizado, pp-20-talco-negro-peletizado, pp-30--talco-negro-peletizado, pp-40-talco-negro-peletizado, pp-alfa-olefina, pp-amorfos, pp-con-fibras-naturales, ppdo, pp-ep, pp-epdm, pp-epdm-vulcanizado, pp-homolimeros-reciclados, pp-ignifugos, pp-nbr, pp-nbr-vulcanizado, ppo-hips, ppo-pa, ppo-pp, ppo-ps, pp-pb, pp-poe vulcanizado, pp-poe-curado, pp-pom, pp-ps, pp-sebs, pp-tejido-no-tejido, pr preforma, prime, primer procesamiento plasticos, proceso de vulcanizacion proceso de molienda proceso de pintado proceso en fase slurr proceso en solucio procesos de extrusion procesos de plastiso procesos esteticos produccion-de-hormas, promotor-de-adherenci propano, propiedades clave embalaje, propiedades termicas y quimicas de los tpe, propiedades tpe, propiedades-acusticas, propiedades-de-superficie propiedades-elastomeros, propiedades-electricas, propiedades-magneticas, propiedades-opticas, propiedades-polimeros, propiedades-solucion, propiedades-termicas, propilene, propileno, proposicion de ley, proteccion emi-rfi, proteccion de peatones, prueba-del-caucho, ps, psa, ps-hips, ps-pa, ps-pc, ps-pom, psr, ps-sis, pu, puerta de combustible, puertas de inyeccion pultrusion pulverizadora punteras, punto de fusion, purgas, procedimiento pva, pvc-acrilico, pvc-cpe, pvc-elastomeros, pvc-eva, pvc-nbr, pvc-pe, pvc-pmma, pvc-poliester, pvc-ps, pvc-pvac, pvc-sma, pvc-tpu, pvc-va, pvoh, que e, que elastomero ofrece la mejor resistencia a la abrasion, que es el compression set, que es el material tpu, que es el moldeo cientifico, que es el poliester, que es el tpe, que es la histeresis, que es un elastomero termoplastico, que son los monomeros, que son los plasticos, que son los plasticos biodegradables, que son los plasticos biodegradable, que son los polimeros, que son los polimeros y como se clasifican, que tipo de material es tpe, quenchers quitina, quitosano, quitosanos rafagas radiacion electromagnetica, radiacion ionizante, radiopaco, rafagas, rail pad, ranil, raporto-l-d, rastrillo de afeitar, rayado, rayon, reacciones-de-metatesi rebabas reciclado-pcr, reciclado-pir, reciclado-post-consumo, reciclaje reciclaje cuaternario reciclaje de pe reciclaje mecanico reciclaje quimico reciclaje-y-eliminacion, reciclar el plastico, reciclar-el-plastico reciclo-de-hormas, recocido recubrimiento de cables, recubrimiento de cables recubrimientos-ruedas, reemplazando a los metales, reemplazo de metales, refrigeradores, refuerzo de elastomeros, regulaciones y la legislacion automoviles, rejillas-bosinas, relacion l-d relacion-de-aspecto-l-d, relajacion-de-estres, rellenos reforzantes, rellenos-conductores-esd resiliencia, resin, resina epoxica, resina-cumarona resinas resinas aromoticas y alifaticas c5 y c9, resinas de amina, resinas de poliester, resinas fenolicas, resinas sbc en selladores, resinas-de-hidrocarburo resinas-de-intercambio-ionic resinas-fenolicas resistencia a la abrasion resistencia a la luz ultravioleta, resistencia a la radiacion, resistencia al aceite y al calor tpe, resistencia al aceite y calor, resistencia al fundido, resistencia al impacto, resistencia-quimica, resistencia-quimica, resistentes a radiacion, resonador de conducto turbo, resonadores, retardadores retardante-dal-fuego retardante-de-llama-eps-y-xps retardante-mineral retardantes reticulacion reticulacion con peroxidos reticulacion de biopol¡meros, reticulacion por irradiacion (pe-xc) reticulacion-azoica revestimiento de resina revestimiento por extrusion revestimiento-de-piscinas, rim roscas, roseta-telefono, rosin-resina r-rim rtm ruedas-para-carritos, ruido de los automoviles, sal, sales-de-plata saturacion, saturados e insaturados, saturados-y-no-saturados, sbbs, sbr, sbr caucho, sb-s, sbs estireno-butileno-estireno, sbs-3411, sbs-411, sbs-411-virgen, sbs-500-virgen, sbs-501-virgen, sbs-540, sbs-540-virgen, scavenger scooters-electricos, scratch, seb-s, s-e-b-s, sebs alta resistencia termica, sebs medico, sebs tpu, sebs-er, sebs-gel, secado secadora, secados seeps, sello de faro, sello-de-faro, sellos-de-ventanas, semi-cristalinos, sensor-del-acelerador-, sensores, sensores-de-presion, seps, serigraf¡a servicio, servicios inyeccion, shear shear-rate, shelf life, shrinkage, shrinkages, shroud, sibs, silano silanos silice, silice-amorfa silice-pirogenica silice-precipitada silicona, sillas, sillas de jardin, sillas operativas, sillas sala de espera, sinterizacion sinterizado laser sintesis de elastomeros termoplasticos, sis, sis162602, sisal, sistema de asientos, sistema de riego, sistemas de combustible, sistemas-principales, sis-virgen, skimmer, slush molding sma smc sms, sneakers, sobremolde sociedad, soldadura soldadura de gas caliente soldadura de p‚ndulo soldadura laser soldadura por aire caliente soldadura por friccion soldadura por induccion soldadura por infrarojos soldadura por microonda soldadura por ultrasonido soldadura por vibracion soldadura-por-agitacion soldadura-por-alta-frecuencia soldadura-por-extrusion soldadura-por-fusion-a-tope soldadura-por-radiacion soldadura-por-vacio solidificacion, solubilidad, solubilidad-polimeros, soporte bateria, soporte palanca de cambios, spheripol proces squeak, s-rim ssqo staining, steering boots, stress cracking resistance, stress relaxations, sublimacion 3d suela goma natural, suela tpr, suelas, suelas espumada, suelas-tpu-mas-ligero, suelas-transparentes, suelas-tr-mate, suela-tr, sujetadores, sulfato de bario, sulfonacio super saco supresores-de-humo surfactantes swelling, tabla polimeros transparentes, tablero, tablero de instrumentos, tack, tackifer tacon, tacticidad, talco, talon de gel, tampilla de combustible, tampograf¡a taninos tanque-de-expansion, tanques de combustible, tanques de gasolina, tapa de rueda, tapa-de-presion, tapetes, tapetes-de-yoga, taquetes-para-concreto, tasa-de-transm.-de-oxigeno, tasa-de-transm.-de-vapor, tecnicas de hilado tecnologia de bateria, tecnologias-de-transformacion, teee, telefonos, telerruptor, tension-superficial, tensor-de-cadena, termoendurecibles frente a termoplasticos, termoestable, termoformado al vac¡o termo-plastico, termoplastico estirenico elastomeros, termosellado texturizado tiempo ciclo de inyeccion tiempo de residencia tier, tinas de plastico, tipo-de-scavenger tipos de procesos tipos de reciclaje tipos de tpe, tipos-de-hormas, tira-de-tigre, titanatos y zirconatos tmq tnr - goma natural termoplastico, todt, torcido, tornillos, tornillos autorroscantes tpa, tpc et, tpc-et, tpc-et propiedades, tpe, t-p-e, tpe o, tpe v, tpe v, tpee, tpe-e, tpes, tpe-u, tpe-v, tpo, tpr, tps sbs, tpu usos, tpu shore, tpu dureza, tpu dureza shore, tpu poliuretano, tpu resina, tpu rubber, tpu reciclado, tpu resin.html, tpu resistente, tpu resistance uv, tpu-poliuretano, tpu-poliuretano, tpv, tpv alto termo, tpv nueva generacion de polimeros termoplasticos, tpv-si, tr, transesterificacion transformadores, transiciones-termicas, transicion-vitrea-tg, transparencia, transparent, trasparentes, tratamiento de llama tratamiento de plasticos tratamiento de superficie tratamientos de modificacion de superficie tratamientos quimicos tren-motriz, trioxido-de-antimonio tuberia-multicapa, tuberias xpe, tubos corrugados agua, tubos corrugados cables, tubos de freno de vacio, tubos termoplasticos, tubos-corrugados, tubos-y-cables-astm-d1248, uhmw-pe, ul94 umts, under the hood, union adhesiva union-mecanica urea-formaldehido, usos en polimeros variaciones de brillo vehiculos electricos, velcro, venta-sbs-virgen, ventilador, vida util, vidrio molido, viscoelasticidad, vitrificacion, volantes, v-seps, vulcanizacion vulcanizacion con azufre vulcanizacion con oxido de metal vulcanizacion con peroxido vulcanizacion con radiacion vulcanizacion con silanos vulcanizacion de caucho, vulcanizacion de uretano vulcanizacion dinamica vulcanizacion en ba¤o de sal vulcanizacion fenolica vulcanizacion inducida por luz ultravioleta vulcanizacion ionica vulcanizacion microondas vulcanizacion platinica vulcanizacion-en-autoclave vulcanizados termoplasticos, warpage, warpages, water injection assisted what is tpu mat, what is tpu pl, wheel arch, wollastonite, xdur-pbt, xnbr, xsbr, zapato, zapatos de seguridad, zeolita, zeolitas, ziegler-natta,tejido no tejido, TNT,
 

 

Regreso al contenido